Наиболее распространенной стоматологической проблемой у собак карликовых пород является нарушение смены временных зубов на постоянные.
Временные зубы (персистирующие, молочные зубы) – это первая генерация зубов у собак и кошек (так же, как у человека и у многих других млекопитающих). Зачатки временных и постоянных зубов закладываются в раннем эмбриональном периоде. Важно отметить, что их расположение в костной ткани к моменту прорезывания уже определено.
Временные зубы прорезываются в определенном возрасте и в определенной последовательности (табл. 1), однако нередко порядок этого процесса может нарушаться ввиду разных причин.
Задержка молочных зубов – состояние, при котором временные (молочные) зубы остаются на месте в тот момент, когда начинают прорезываться постоянные. Если постоянный зуб прорезывается естественным путем, он оказывает давление на корень временного зуба и запускает процесс резорбции. Воздействие, которое возникает при этом, приводит к устойчивому разрушению корня до момента выпадения зуба.
В случаях, когда постоянный зуб прорезывается неестественным путем или его зачаток располагается таким образом, что не может запустить процесс разрушения временного зуба, он прорезывается рядом. В результате смены зуба не происходит (за исключением процесса боковой резорбции, возникающей не на верхушке корня зуба, а на боковой поверхности временного корня, когда зубы находятся в плотном боковом контакте) (фото 1).
Распространенные причины задержки смены временных зубов
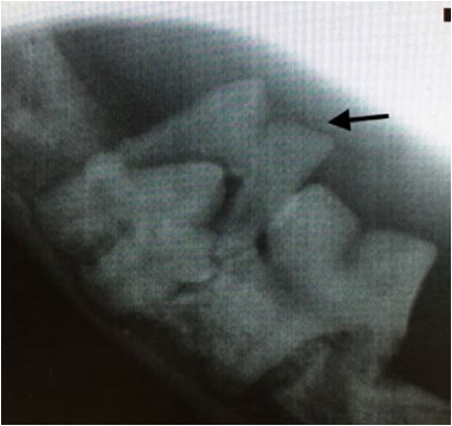
- Неправильная траектория прорезывания (фото 2). Такая патология может возникать из-за нарушения развития альвеолярного отростка в результате какого-либо механического препятствия, нарушения закладки зачатков зубов в раннем эмбриональном периоде, а также по причине дефицита места.
- Анкилоз временного зуба. Этот процесс обусловлен утратой периодонтальной связки и встраиванием цемента в зубную альвеолу. Анкилоз можно обнаружить при ретенции зубов, а также при отсутствии постоянной единицы в результате травмы или нарушения физиологического равновесия между резорбцией и репарацией костной ткани возле корней зубов.
- Отсутствие постоянного преемника – состояние, при котором отсутствуют зачатки постоянных зубов (фото 3):
- гиподентия – отсутствие от одного до пяти постоянных зубов;
- олигодентия – отсутствие более пяти единиц постоянных зубов;
- адентия – полное отсутствие зубов.
- Метаболические нарушения (такие патологии, как гипотиреоз и вторичный гиперпаратиреоз). На фото 4 представлен пациент – кошка (возраст – 1 год и 1 месяц), у которой сохранены временные 707, 807 зубы. Рентгенографическое исследование того же пациента (фото 5–7) выявило резорбцию зубов, незавершенные апексы, периодонтит, наличие ретенированных предшественников 307 и 407 зубов.
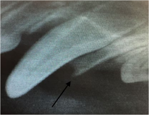
- Ретенция постоянных зубов – патология прорезывания зуба, при которой зуб при наличии зачатка остается непрорезавшимся. Это часто связано с нарушением положения зуба в пространстве либо с наличием плотной костной структуры/десны, ранней утерей или пульпитом временных зубов (фото 8).
- Генетическая предрасположенность. Нельзя с полной уверенностью утверждать, что причиной неправильного положения постоянного зуба является генетическая предрасположенность, поскольку не существует генетических тестов, которые могли бы это подтвердить. Однако, учитывая факт распространенности данной проблемы у собак определенных пород (например, у представителей карликовых и мелких пород эта проблема возникает чаще, чем у собак средних и крупных пород) и у животных с похожей формой головы (например, у представителей брахицефалических пород или пород, имеющих дефицит костной ткани челюстей), можно сделать предположение о возможной генетической предрасположенности. У кошек (в основном у представителей брахицефалических пород) задержка смены зубов возникает реже, чем у собак.
Клинические признаки
На осмотре у поступившего в клинику пациента визуализируются дополнительные зубы в аркадах, которые нередко имеют скученность, ротацию. Временные зубы отличаются от постоянных цветом (они более прозрачные), формой (более тонкие), а также имеют более угловатые и острые коронки. Неестественное положение зубов или нарушение прикуса может возникать из-за разницы в размерах челюстей или несоответствия положения зуба (зубов) анатомической норме. Также могут визуализироваться временные зубы при отсутствии постоянных зубов. Временные и/или постоянные зубы могут являться причиной травмирования зубов, десен и нёба. В процессе клинического осмотра можно выявить наличие персистирующих зубов (фото 9).Рентгенография подтверждает наличие или отсутствие постоянных зубов, их ретенцию, количественный состав временных зубов и тип резорбции корня временного зуба.
Лечение
Персистирующие зубы в сочетании с постоянными могут переполнять зубную дугу, вызывая дискомфорт в ротовой полости. Двойные наборы корней также могут препятствовать нормальному развитию альвеол и опоры пародонта вокруг каждого из постоянных зубов, что приводит к их преждевременной потере. Скученность зубов может стать причиной интенсивного образования зубных отложений, развития болезней пародонта и нередко приводит к травматическим поражениям слизистой оболочки ротовой полости. Именно поэтому важно с раннего возраста проводить у животных оценку временных зубов, прикуса, своевременность смены временных зубов на постоянные. Рекомендуемый возраст для первичного осмотра – 3–4 месяца, далее контроль для каждого пациента подбирается индивидуально, исходя из данных осмотра.Временные зубы необходимо удалять своевременно. Цель этой процедуры состоит в том, чтобы удалить молочные зубы без переломов корней. Перед удалением важно тщательно изучить снимки дентальной рентгенографии, чтобы оценить поддесневую анатомию удаляемого зуба.
Абсолютные показания для удаления временных зубов:
- травма временного зуба/пульпит (фото 10, 11);
- неправильный прикус в сочетании с травмой слизистой оболочки полости рта (фото 12);
- задержка смены временных зубов (единовременное нахождение постоянного и временного зуба в одной лунке в полости рта при условии, что сроки смены данной группы зубов уже закончились) (фото 13).
Временные зубы удаляют под анестезией (медикаментозный сон), для анальгезии используют блокады челюстей или системные анальгетики. Согласно опубликованным данным, рекомендуется удалять зубы закрытым способом, при невозможности использовать данный метод прибегают к открытому способу.
Закрытый способ удаления зуба – хирургическое удаление с помощью элеватора или люксатора (по принципу расшатывания зуба вокруг его оси или рассечения периодонтальной связки).
Открытый способ удаления зуба – хирургическое удаление, сопровождающееся отслаиванием слизисто-надкостничного лоскута, препарированием альвеолы (для получения доступа к корню удаляемого зуба) и извлечением одного или нескольких корней. Используется в случаях неудачной попытки удаления зуба закрытым способом, при визуальной недоступности корней зубов, а также во избежание применения чрезмерной силы и в случаях возникновения повышенных рисков травматизации постоянного зуба.
При использовании обоих способов (открытого и закрытого) важно работать аккуратно, только в пределах удаляемого зуба, не делать упор на близко располагающиеся зубы и их зачатки.
Экстракция должна производиться осторожно, без применения чрезмерных усилий, чтобы избежать случайного повреждения постоянного зуба. Не рекомендуется избыточно раскачивать зубы, так как это может привести к перелому хрупкого зуба. Следует подбирать инструменты в соответствии с размерами зуба (рабочая часть инструмента должна плотно облегать зуб).
Нельзя скусывать временные зубы или оставлять их фрагменты в лунках. Важно помнить, что корни временных зубов не рассасываются (фото 14), более того, они являются источником хронической боли и инфекции как для постоянных зубов, так и для костной ткани, что может повлечь за собой возникновение ряда заболеваний пародонта и других более серьезных последствий.
Если своевременно не выполнять ряд профилактических или лечебных мероприятий (например, удаление временных зубов), могут развиться заболевания пародонта, периодонта, что влечет за собой раннюю потерю зубного ряда.
После выполнения описанных мероприятий владельцам рекомендуют осуществлять уход за полостью рта своих питомцев в домашних условиях (ежедневная гигиена с применением зубной щетки и пасты спустя некоторое время после удаления временных зубов), посещать профилактические осмотры у врача-стоматолога, выполнять необходимое ортодонтическое или иное лечение, которое назначается в связи с обнаруженными в ротовой полости патологиями.
Список литературы:
- Brook A. Niemiec. Small Animal Dental, Oral & Maxillofacial Disease, 2011.
- Jan Bellows. Small Animal Dental Equipment, Materials, and Techniques: A Primer, 2019.
- Brook A. Niemiec, DVM. Veterinary Periodontology, 2013.
- Logan E. I. Dietary influences on periodontal health in dogs and cats. Vet Clin North Am Small Anim Pract, 2006.
- Satish Chandra. Textbook of Dental and Oral Histology with Embryology and Multiple Choice Questions, 2010.















vetpeterburg
Ветеринарный Петербург