Аннотация
Описание случая: владельцы трехлетнего кастрированного хорька обратились с жалобами на регургитацию и потерю веса у питомца.Клинические находки. Кондиция тела 3/5, активность сохранена, физикальное и неврологическое обследования не показали никаких отклонений, гематологические тесты и УЗИ брюшной полости в норме. На рентгенографии были обнаружены признаки мегаэзофагуса. При рентгеноскопическом исследовании были установлены гипотония и дилатация пищевода на всем протяжении, нарушение проводимости через кардиальный сфинктер. При эндоскопическом исследовании патологий кардиального сфинктера не выявлено. Был поставлен диагноз «ахалазия кардии».
Лечение и исход. В качестве лечения были выполнены серии дилатаций с умеренным успехом с интервалом несколько месяцев. Через 9 месяцев симптомы рецидивировали сочетанно с хилотораксом. Были выполнены миотомия кардиального сфинктера и эмболизация грудного протока клеем. Регургитация и хилоторакс разрешились сразу после операции. Период наблюдения составляет 4 месяца.
Клинический случай
Пациент: 3-летний кастрированный хорек весом 1,83 кг.Анамнез: владельцы обратились с жалобами на регургитацию и рвоту, апатию, клокочущие звуки при кормлении, кашель и снижение массы тела у животного. Симптомы появились за три недели до обращения. В анамнезе, предположительно, был отит среднего уха с вестибулярными проявлениями. Хорек проживает в квартире с другими особями, жалобы на состояние которых у владельцев отсутствуют.
Физикальное и неврологическое обследования: при физикальном и неврологическом осмотрах отклонений не выявлено. Кондиция тела составляла 3/5.
Диагностика
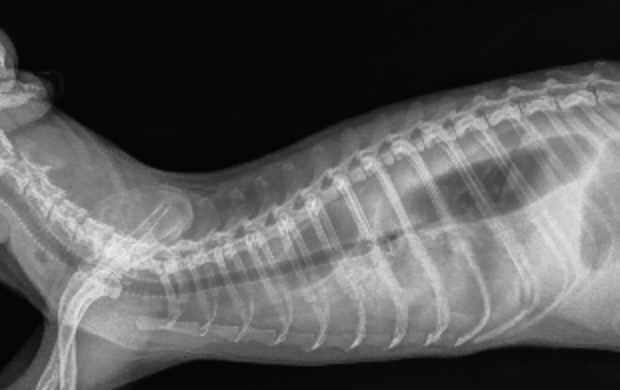
Результаты анализов крови и ультразвукового исследования брюшной полости не показали наличия патологий.Рентгенография грудной полости: обнаружена аномалия в виде мегаэзофагуса – патологического расширения пищевода.
Рентгеноскопия акта глотания была выполнена для оценки функций пищевода и кардиального сфинктера. Выявлены гипотония и расширение пищевода на всем протяжении до 18 мм, S-образный изгиб пищевода в средней трети и спазм или стриктура кардиального сфинктера (видео 1). В течение 25 минут незначительное количество кормовых масс сместилось из пищевода в желудок.
Открыть в ВКонтакте.
Видео 1. Первичная рентгеноскопия акта глотания.
При эзофагоскопии были подтверждены диффузное расширение и S-образный изгиб пищевода. Признаки механической обструкции кардиального сфинктера отсутствовали, однако его проходимость для гастроскопа диаметром 7,8 мм была значительно затруднена.
Для улучшения проходимости кардиального сфинктера была проведена баллонная дилатация с использованием баллона Endostars 10–12 мм. Процедура проводилась двукратно с экспозицией по 90 секунд. После дилатации проходимость для гастроскопа 7,8 мм значительно улучшилась. В качестве поддерживающей терапии после процедуры были назначены силденафил в дозе 1 мг/кг и нифедипин в дозе 0,1 мг/кг.
Сразу после проведения дилатации наблюдалось значительное уменьшение симптомов регургитации, рвота прекратилась.
Через 3 месяца владельцы хорька повторно обратились в клинику с жалобами на острую рвоту после приема пищи и снижение аппетита у питомца. При физикальном обследовании отклонений не было выявлено. Скорость эвакуации жидкого контрастного препарата из пищевода в желудок составила 40 секунд, диаметр пищевода – до 16 мм.
В течение 3 месяцев симптомы прогрессировали. Повторные рентгенограммы грудной полости и рентгеноскопия акта глотания не выявили положительной динамики по изменению тонуса и размеров пищевода (видео 2).
Открыть в ВКонтакте.
Видео 2. Рентгеноскопическое исследование пациента через шесть месяцев после проведения баллонной дилатации.
Спустя 6 месяцев после первичного обращения была выполнена повторная баллонная дилатация кардиального сфинктера. Использовался баллон Endostars диаметром 12–15 мм с экспозицией 30 минут (видео 3). Через 3 дня процедуру повторили (видео 4). В течение последующих двух недель, несмотря на проведенные манипуляции, сохранялись симптомы периодической рвоты и регургитации. В связи с этим была выполнена дополнительная баллонная дилатация с использованием баллона Endostars диаметром 15–18 мм и экспозицией 35 минут. Через месяц процедуру повторили.
Открыть в ВКонтакте.
Видео 3. Повторная баллонная дилатация спустя 6 месяцев.
В течение двух месяцев отмечалась слабая положительная динамика в отношении частоты рвоты и регургитации, однако вес пациента продолжал снижаться. При проведении рентгенографии и ультразвукового исследования грудной полости (рис. 1) был выявлен гидроторакс. Цитологическое исследование полученного образца жидкости подтвердило наличие хилоторакса.
Для уточнения диагноза была проведена непрямая КТ-лимфография путем введения 2 мл йодсодержащего контрастного вещества («Юнигексол») в мякиш правой тазовой конечности. В ходе исследования были выявлены значительное расширение пищевода, гидроторакс и выраженное расширение лимфатических сосудов дистального отдела пищевода вблизи кардии с признаками утечки лимфы в плевральную полость (рис. 2; видео 5). Данных, свидетельствующих о наличии неоплазии, получено не было.
В течение недели пациент находился в ОРИТ, где каждые 48 часов проводился торакоцентез с аспирацией 60 мл хилезной жидкости. Несмотря на это, анорексия, регургитация и рвота продолжали усиливаться.
Открыть в ВКонтакте.
Видео 5. КТ-лимфография.
Хирургическое лечение
В связи с прогрессированием симптомов пациенту была выполнена миотомия кардиального сфинктера с фундопликацией по Дору (рис. 3). Техника операции была заимствована из медицины человека.Техника проведения
Доступ осуществлялся через срединную лапаротомию. Была проведена диссекция дистальной части пищевода путем рассечения пищеводной связки. Дистальный отдел пищевода и желудка были фиксированы турникетами. Серозно-мышечный слой по вентральной стенке дистального пищевода и желудка был рассечен на расстоянии 2 см краниальнее и каудальнее кардиального сфинктера. С учетом размера дна желудка была выполнена фундопликация по Дору: дефект был укрыт дном желудка и фиксирован к диафрагме.Во время интраоперационной эзофагоскопии после миотомии кардиальный сфинктер умеренно зиял, что свидетельствовало о достижении желаемого эффекта.
В качестве лечения хилоторакса был выбран метод эмболизации клеем. Предварительно была выполнена катетеризация лимфатического сосуда брыжейки, контрастирование поясничной цистерны и грудного протока осуществлялось с использованием раствора «Омнипак» под рентгеноскопическим контролем. Затем был введен клей Surgibond в объеме 0,5 мл. Лапаротомная рана была ушита послойно.
Результаты и наблюдение
Пробуждение после операции произошло без осложнений. Пациент был выписан домой в день операции с рекомендациями, включающими частое дробное кормление жидким кормом, антибиотикотерапию и прием НПВС для обезболивания. В течение двух недель после операции постепенно увеличивали плотность корма и размер его кусочков. Регургитация отмечалась однократно и была связана с большим объемом кормления. Хилоторакс разрешился сразу после операции.Через 2 недели после миотомии на рентгеноскопическом исследовании было установлено, что шейная часть пищевода не расширена, перистальтические движения пищевода значительно выражены, проходимость через кардиальный сфинктер сохранена. Скорость продвижения кормовых масс через кардию составила 6 минут (видео 6).
На момент написания статьи период наблюдения за пациентом составил 8 месяцев. Набор массы тела питомца – 200 г, осуществляется кормление привычным кормом (фарш, цыплята). Вертикальное положение после кормления не применяется.
Открыть в ВКонтакте.
Видео 6. Рентгеноскопия акта глотания через 2 недели после миотомии.
Обсуждение
Мегаэзофагус – заболевание, встречающееся у всех видов животных, однако его этиология часто остается неизвестной. Ахалазия кардии представляет собой редкое заболевание, диагностируемое методом исключения. В литературе описаны единичные случаи мегаэзофагуса у хорьков (всего 3 случая), при этом во всех случаях причины заболевания оставались неизвестными. В одном из исследований1 все 9 хорьков с мегаэзофагусом погибли или были эвтаназированы. Хирургические и эндоскопические методы лечения не применялись, а при патологоанатомическом исследовании не было обнаружено структурных изменений, вызывающих заболевание.Мегаэзофагус – это медленно прогрессирующее заболевание, сопровождающееся диффузным расширением пищевода на всем протяжении, снижением его тонуса и задержкой кормовых масс. Заболевание может быть как врожденным, так и приобретенным. Причины приобретенного мегаэзофагуса: неврологические и нервно-мышечные заболевания (ботулизм, чума, миастения гравис), обструкция пищевода (инородное тело, стриктура, опухоль), эзофагит. В описанном клиническом случае у хорька в возрасте 3 лет не было зарегистрировано ни одной из указанных выше патологий, симптомы появились резко спустя непродолжительное время после вестибулярных расстройств. Дополнительную диагностику с использованием МРТ головы не проводили, поэтому причины этих симптомов остались неизвестными.
Важным этапом диагностики мегаэзофагуса является рентгеноскопическое исследование пищевода с целью оценки перистальтики, тонуса и скорости продвижения кормовых масс через кардию. При первичном исследовании было выявлено значительное снижение перистальтики пищевода, но ее наличие сохранялось. Также отмечалось выраженное затруднение прохождения кормовых масс через кардию. Методом исключения был поставлен диагноз «ахалазия кардии».
Ахалазия кардии, или кардиоспазм, – это хроническое заболевание, при котором нарушается расслабление нижнего пищеводного сфинктера, что приводит к затруднению прохождения пищи из пищевода в желудок. Для диагностики этого заболевания в медицине человека применяют манометрию пищевода. Есть экспериментальные исследования с участием собак, однако в ветеринарии широкое применение данного метода в клинической практике недоступно ввиду особенностей его проведения.
Существующие методы лечения ахалазии кардии включают введение ботулотоксина, баллонную дилатацию и миотомию3. В данном случае в качестве метода лечения была выбрана баллонная дилатация. Размер баллона 10–12 мм был выбран эмпирически, длительность экспозиции (1,5 минуты) и количество дилатаций за одну процедуру соответствовали описанным ранее рекомендациям3. После проведения процедуры период ремиссии составил 6 месяцев с постепенной прогрессией симптомов в течение последних трех месяцев. Впоследствии были выполнены еще две серии баллонных дилатаций с увеличением размера баллона до 18 мм. Эффективность этих процедур была умеренной, с последующей отрицательной динамикой в течение двух месяцев.
При очередном рецидиве симптомов появилась одышка и была обнаружена жидкость в грудной полости, цитологическая картина которой соответствовала хилотораксу. Основными причинами хилоторакса являются травмы грудной полости, новообразования, заболевания сердца, инфекционные и паразитарные болезни. В некоторых случаях причину установить не удается, и хилоторакс считается идиопатическим.
Пациенту была выполнена непрямая КТ-лимфография, при проведении которой обнаружили выраженную дилатацию лимфатических сосудов каудальной части пищевода с признаками утечки контраста в грудную полость диффузно в дистальной части, перед кардиальным сфинктером. Пищевод был значительно расширен, имел S-образный изгиб и занимал 1/3 объема грудной полости. Объективных причин для хилоторакса обнаружено не было, предположительно, хилоторакс сформировался ввиду значительного расширения пищевода, возможно, компрессии сосудов грудной полости или повышения проницаемости сосудов стенки пищевода.
В связи с недостаточной продолжительностью эффекта от проведенной ранее баллонной дилатации пациенту была выполнена миотомия кардиального сфинктера через лапаротомный доступ. Для предотвращения рефлюкса была проведена фундопликация по Дору, поскольку другие методики (по Ниссену, по Тупе) предполагают поворот дна желудка вокруг пищевода на 180–360 градусов. Объем дна желудка хорька не позволял выполнить эти техники.
Предполагалось, что улучшение проходимости кормовых масс через кардию приведет к снижению давления на дистальный отдел пищевода и, как следствие, – к разрешению хилоторакса. Однако (для дополнительного снижения риска развития рецидива хилоторакса) была выполнена эмболизация грудного протока с использованием клеевого состава. Лапаротомный доступ позволил провести эту процедуру без значительного увеличения продолжительности операции и с минимальными рисками.
Спустя две недели после хирургического вмешательства была проведена контрольная рентгеноскопия, которая выявила существенную положительную динамику скорости проходимости пищи через кардию и уменьшение диаметра шейного отдела пищевода до нормальных значений. Хилоторакс разрешился сразу после операции.
Выводы
Это первый описанный клинический случай успешного хирургического лечения ахалазии кардии у хорька с использованием миотомии и фундопликации. Баллонная дилатация обеспечила лишь временный, частичный эффект с постепенным сокращением периодов ремиссии. Требуются дополнительные исследования для выяснения взаимосвязи между хилотораксом и мегаэзофагусом.Список литературы:
- Blanco M. C., Fox J. G., Rosenthal K., Hillyer E. V., Quesenberry K. E., Murphy J. C. Megaesophagus in nine ferrets. J Am Vet Med Assoc, 205(3): 444–7, Aug 1, 1994. PMID: 7961071.
- Harms C. A., Andrews G. A. Megaesophagus in a domestic ferret. Lab Anim Sci, 43(5): 506–8, Oct 1993. PMID: 8277738.
- Grobman M. E., Hutcheson K. D., Lever T. E., Mann F. A., Reinero C. R. Mechanical dilation, botulinum toxin A injection, and surgical myotomy with fundoplication for treatment of lower esophageal sphincter achalasia-like syndrome in dogs. J Vet Intern Med, 33(3): 1423–1433, May 2019. doi: 10.1111/jvim.15476. Epub 2019 Apr 9. PMID: 30968469; PMCID: PMC6524387.



vetpeterburg
Ветеринарный Петербург