Продолжение. Начало в № 1/2021
Группа исследователей WSAVA стандартизировала и классифицировала заболевания печени, в том числе болезни, связанные с нарушением кровообращения (Cullen, 2009)1.
В № 1/2021 журнала «Ветеринарный Петербург» речь шла о низкоскоростных сосудистых аномалиях печени – шунтах. Напомню, что они бывают врожденные и приобретенные и формируются путем соединения портальной, каудальной полой или непарной вен.
Отдельной группой сосудистых заболеваний, которую выделил Cullen с коллегами1, являются болезни, связанные с нарушением оттока крови от печени и затрагивающие сердце, каудальную полую вену или печеночные вены. В некоторых случаях сердечная недостаточность, вызванная врожденными пороками сердца, эндокардит или эндокардиоз, повреждение миокарда и тампонада сердца сопровождаются пассивным отеком печени. Пассивный венозный застой в печени может быть результатом частичной или полной обструкции или компрессии каудальной полой вены, а также он может быть вызван обструкцией печеночных вен. Тромбоз крупных печеночных вен, в медицине именуемый синдромом Бадда – Киари, был зарегистрирован у кошек и собак3-7.
Следующая группа сосудистых заболеваний печени связана с портальной гипертензией (ПГ), которая представляет собой повышение давления в портальной вене, что часто сопровождается асцитом и формированием приобретенных портосистемных шунтов (рис. 1). Это может быть результатом первичных сосудистых заболеваний или первичных заболеваний печени. Портальная гипертензия также может возникать при пассивном венозном застое в печени.
Первичные сосудистые заболевания печени
Обструкция портальной вены может быть вызвана тромбозом или внешним сдавливанием (например, новообразованием). Тромбоз, в свою очередь, может возникать вследствие местного воспалительного процесса, панкреатита, перитонита или гиперкоагуляции. Неоплазия также может вызывать обструкцию портальной вены. В литературе8,9 описаны случаи трематодной инвазии, при которой развивается хроническое гранулематозное воспаление в портальной вене и окружающих ее областях.Первичная гипоплазия портальной вены – это врожденная аномалия, которая встречается у собак и, реже, у кошек. В литературе можно найти синонимичные названия данного заболевания – нецирротическая портальная гипертензия, гепатопортальный склероз. Тяжесть протекания и клинические признаки этой патологии зависят от степени гипоплазии портальной вены, которая сопровождается уменьшением диаметра последней или ее полным отсутствием, а также недоразвитием микроскопических портальных вен. Выделяют первичную гипоплазию портальной вены (англ. primary portal vein hypoplasia; PPVH) и функциональную, или вторичную (secondary portal vein hypoplasia; SPVH), которая образуется вследствие снижения кровотока в портальной вене. Примерно у 30% собак с первичной гипоплазией воротной вены сосудистые изменения умеренные и нет никаких признаков портального фиброза1.
Клинические признаки развиваются в раннем возрасте и могут сопровождаться асцитом и гепатоэнцефалопатией.
Диагноз определяется путем исключения иных сосудистых аномалий (шунты, артериовенозные мальформации, тромбоз), с этой целью проводят КТ-ангиографию. Также следует сделать портографию, во время исследования можно создать давление в портальной вене, что приведет к пассивному ее расширению.
Аневризма портальной вены (АПВ). В ретроспективном исследовании 3060 собак, которым была проведена компьютерная томография брюшной полости, АПВ были обнаружены в 0,49% случаев10. Аневризма портальной вены может быть врожденной и приобретенной. Замечена предрасположенность к данному заболеванию у крупных собак, преимущественно у боксеров. Аневризма представляет собой мешкообразное расширение портальной вены и ее ветвей. Внепеченочные АПВ обычно расположены в месте впадения гастродуоденальной вены в воротную вену.
Клинические признаки связаны с осложнениями, которые вызывают тромбозы и разрывы АПВ. При внутрипеченочных портосистемных шунтах и артериовенозных мальформациях могут развиваться псевдоаневризмальные расширения портальных ветвей.
Высокоскоростные сосудистые аномалии отличаются наличием артериального компонента. Нет четкой классификации этих состояний и соответствующей терминологии, однако принято подразделять высокоскоростные аномалии на артериовенозные фистулы (АВФ) и артериовенозные мальформации (АВМ). Первые отличаются наличием единичного сосуда, соединяющего артерию и вену. Примером такой сосудистой аномалии является открытый артериальный проток. АВФ могут быть врожденными или приобретенными вследствие травмы или сочетанной перевязки артерии и вены.
Артериовенозные мальформации являются врожденной патологией, они состоят из множества сосудов, формирующих «очаг» или «гнездо», и могут развиваться в любых органах (в медицине широко описаны локализации в центральной нервной системе, конечностях, почках, печени и других органах).
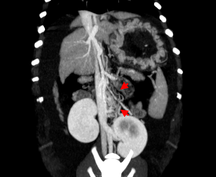
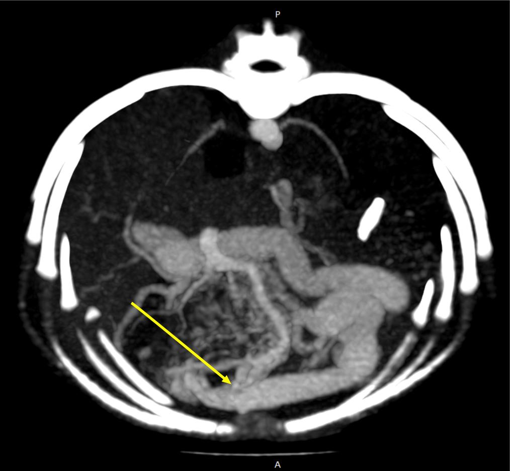
АВМ печени принято делить на правосторонние и левосторонние. Последние подразделяются на левую латеральную и медиальную мальформации в зависимости от положения выносящей вены (рис. 2).
Печеночные АВМ чаще диагностируются у собак, чем у кошек, и представляют собой соединения ветвей печеночной артерии и портальной вены. Артериализация портальной вены приводит к гипертензии, что способствует развитию множественных внепеченочных шунтов. Асцит является частой находкой при печеночных АВМ. Врожденные АВМ в основном сопровождаются симптомами печеночной энцефалопатии, портальной гипертензии и желудочно-кишечных расстройств.
Пациентам, как правило, требуется пожизненное медикаментозное лечение.
Диагностика печеночных АВМ осуществляется с применением КТ-ангиографии, выявляющей сосудистую сеть (или «гнездо»), образованную ветвями приносящей печеночной, гастродуоденальной, левой желудочной и другими артериями, через которую происходит слияние с воротной веной (рис. 3). Артериальная фаза является самой важной в идентификации приносящих ветвей артериовенозной мальформации. АВМ имеют тенденцию изменяться со временем, в связи с этим КТ-ангиографию рекомендуют проводить как можно ближе к дате планируемого хирургического вмешательства.
На УЗИ характерным признаком печеночной АВМ является наличие ретроградного тока в портальной вене.
Лечение АВМ. Описано несколько способов лечения печеночных АВМ. Лигирование питающей артерии является нежелательным способом, поскольку печеночная артерия может иметь множество питающих ветвей, труднодоступных для лигирования хирургическим способом. Также это ограничивает последующий доступ к питающим артериям.
При хирургическом удалении АВМ печени («гнезда») следует учитывать риск возникновения возможного кровотечения, что потребует тщательного гемостаза.
АВМ часто расположены в центральных или правых долях печени и могут захватывать желчный пузырь, что затрудняет их удаление, однако данный способ может быть рекомендован в качестве лечения АВМ.
У собак, перенесших только хирургическое лечение, периоперационная выживаемость составила 77%, а долгосрочные результаты были удовлетворительными или хорошими – от 38 до 57% (Chanoit, 2007). Около 75% собак нуждаются в дополнительном медикаментозном лечении, так как симптомы часто сохраняются из-за развития множественных внепеченочных шунтов (Chanoit, 2007).
Трансартериальная эмболизация АВМ заключается в введении эмболизирующих, реже склерозирующих агентов в ветви приносящих артерий с целью блокирования в них кровотока. Описано использование спирта, спиралей, микросфер, клея и других более современных жидких эмболизатов типа «Оникс» (Onyx), который является достаточно дорогостоящим, что ограничивает его применение в ветеринарии. При печеночных АВМ предпочтительнее использовать спирали и клей, которые вводят по катетеру в ветви печеночной артерии, питающие АВМ. Прицельная ангиография позволяет выявлять даже те питающие ветви, которые могут быть незаметными на КТ.
Лечение АВМ, как правило, паллиативное и направлено на эмболизацию сосудистого «гнезда». Наиболее часто используют цианакрилатный клей для эмболизации приносящих артерий. Сосудистый доступ осуществляют через бедренную артерию, также допустим доступ через сонную артерию у небольших пациентов.
В бедренную артерию устанавливают интродьюсер размером 4–5 Fr. Сосудистым катетером Cobra или другим под флюороскопическим контролем осуществляют катетеризацию общей печеночной артерии через чревную. Затем проводят селективную артериографию для выявления ветвей печеночной мальформации. Далее через микрокатетер, который размещают в приносящих артериях, поочередно вводят эмболизирующий агент. В литературе рекомендуют использовать смесь цианакрилата (NBCA) и липиодола. Липиодол – контрастное масляное вещество, которое способствует замедлению процесса полимеризации клея. Смесь вводят поочередно в каждую приносящую ветвь, регулярно проводя ангиографию. Процедуру завершают, когда в сосудах «гнезда» мальформации больше не наблюдается тока крови.
В своей практике автор статьи не использовал липиодол из-за отсутствия данного препарата в свободном доступе.
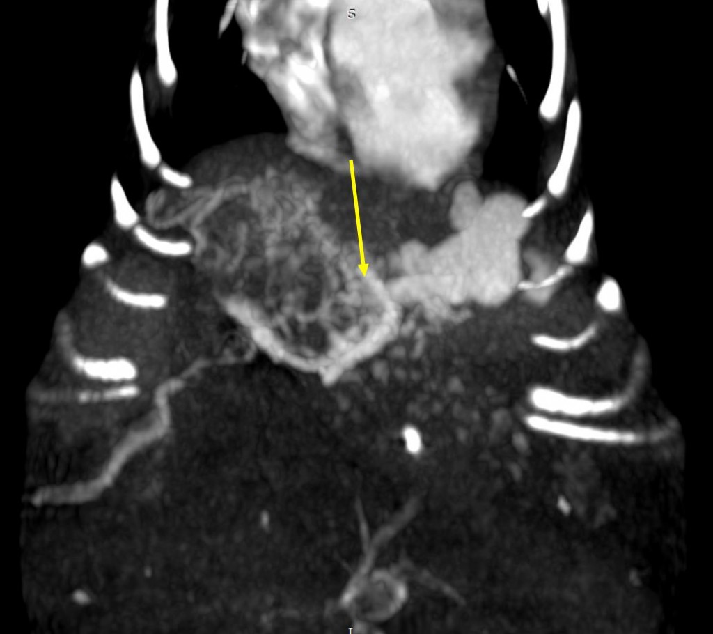
Для эмболизации артериовенозной мальформации печени (рис. 4) у 5-месячной собаки весом 2,7 кг автор статьи использовал спирали, а также коллагеновую губку и клей (3M Vetbond). Сосудистый доступ осуществлялся через бедренную артерию, в которую был установлен интродьюсер 4 Fr (рис. 5). Катетеризация печеночной артерии проводилась катетером Cobra, 4 Fr (рис 6.) В трех наиболее крупных ветвях приносящих артерий были размещены спирали, однако сильный ток крови в сосудах «гнезда» после размещения спиралей сохранялся. Из коллагеновой губки, контрастного вещества («Ультравист») и физраствора была приготовлена смесь в объеме 1,0 мл, которая была введена через катетер 4 Fr, размещенный в области бифуркации приносящих артерий «гнезда». Это снизило риск миграции клея в портальную вену и нецелевой эмболизации. После этого по катетеру был введен клей 3M Vetbond. По окончании манипуляции в сосудах «гнезда» мальформации не отмечалось наличия тока крови.
Пробуждение пациента прошло без особенностей (видео 1). Признаков обратного тока крови в портальной вене не наблюдалось.
Видео 1. Трансартериальная эмболизация АВМ печени у собаки.
Классификация сосудистых аномалий, представленная Международным обществом по изучению сосудистых аномалий (ISSVA)13, дает гораздо более полное представление о возможных сосудистых аномалиях человека. Подобной классификации в ветеринарной медицине на данный момент не существует, что осложняет диагностику этих заболеваний у животных и дает понимание того, что данное направление требует дальнейшего, более детального изучения.
Примечание: классификацию сосудистых аномалий ISSVA на русском языке (перевод сделан автором статьи) можно скачать по ссылке (кнопка «Скачать конспект»)
Список литературы:
- WSAVA Standards for Clinical and Histological Diagnosis of Canine and Feline Liver Diseases. World Small Animal Veterinary Association. Liver Standardization Group, Jan Rothuizen, Susan E. Bunch, Jennifer A. Charles. ISBN 13: 978-0-7020-2791-8. ISBN 10: 0-7020-2791-X.
- Weiss C., Berent A. Veterinary Image-Guided Interventions, 2015.
- Giovanna Bertolini. Anomalies of the Portal Venous System in Dogs and Cats as Seen on Multidetector-Row Computed Tomography: An Overview and Systematization Proposal, Veterinary sciences, 2018.
- Macintire D. K., Henderson R. H., Banfield C., et al. Budd-Chiari syndrome in a kitten, caused by membranous obstruction of the caudal vena cava. J Am Anim Hosp Assoc, 31(6): 484–491, 1995.
- Fine D. M., Olivier N. B., Walshaw R., et al. Surgical correction of late-onset Budd-Chiari-like syndrome in a dog. J Am Vet Med Assoc, 212(6): 835–837, 1998.
- Schoeman J. P., Stidworthy M. F. Budd-Chiari-like syndrome associated with an adrenal phaeochromocytoma in a dog. J Small Anim Pract, 42(4): 191–194, 2001.
- Cohn L. A., Spaulding K. A., Cullen J. M., et al. Intrahepatic postsinusoidal venous obstruction in a dog. J Vet Intern Med, 5(6): 317–321, 1991.
- Smith H. A., Jones T. C. Veterinary Pathology. 3rd edn. Philadelphia: Lea and Febiger, 1966.
- Flowers J. R., Hammerberg B., Wood S. L., et al. Heterobilharzia americana infection in a dog. J Am Vet Med Assoc, 220: 193–196, 2002.
- Bertolini G., Caldin. M. Computed tomography findings in portal vein aneurysm of dogs. Vet J, 193: 475–480, 2012.
- J. Brad Case, DVM, MS. Endovascular treatment of a high-flow hepatic arteriovenous malformation with secondary portal hypertension in a dog, 2017.
- Chanoit G., Kyles A. E., Weisse C., et al. Surgical and interventional radiographic treatment of dogs with hepatic arteriovenous fistulae. Vet Surg, 36: 199, 2007.
- Классификация сосудистых болезней ISSVA.










vetpeterburg
Ветеринарный Петербург