Резюме
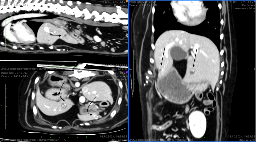
Актуальность. Гемангиосаркома (ГСА) селезенки у собак представляет собой злокачественное высокоагрессивное опухолевое заболевание с ранним метастазированием. Гемангиосаркома поражает преимущественно породы собак средних, крупных и гигантских размеров, а также их метисов. Стандартом лечения ГСА селезенки является спленэктомия с последующей адъювантной химиотерапией, однако прогноз остается осторожным, несмотря на проводимое лечение. Липосомальный доксорубицин (ЛД), обладающий способностью к селективному накоплению в опухолевой ткани и сниженной кардиотоксичностью, представляет интерес в лечении диссеминированных форм ГСА.Цель. Предоставить описание клинического случая применения ЛД у собаки с метастатической ГСА селезенки, оценить его эффективность и безопасность ЛД в сравнении со стандартным доксорубицином, включенным в комплексный противоопухолевый протокол VAC.
Список литературы:
- Spangler W. L., Culbertson M. R. Prevalence, type, and importance of splenic diseases in dogs: 1480 cases (1985-1989). J Am Vet Med Assoc, 200:829–834, 1992.
- Prymak C., McKee L. J., Goldschmidt M. H., et al. Epidemiologic, clinical, pathologic, and prognostic characteristics of splenic hem- angiosarcoma and splenic hematoma in dogs: 217 cases (1985). J Am Vet Med Assoc, 193:706–712, 1988.
- Brown N. O., Patnaik A. K., MacEwen E. G. Canine hemangiosarcoma: retrospective analysis of 104 cases. J Am Vet Med Assoc, 186:56–58, 1985.
- Clifford C. A., de Lorimier L. P. Hemangiosarcoma. In Ettinger S. J., Feldman E. C., Cote E., editors. Textbook of veterinary internal medicine, 8th ed, pp 2093–2102, 2017.
- Spangler W. L., Kass P. H. Pathologic factors affecting postsplenec-tomy survival in dogs. J Vet Intern Med, 11:166–171, 1997.
- Schultheiss P. C. A retrospective study of visceral and nonvisceral hemangiosarcoma and hemangiomas in domestic animals. J Vet.Diagn Invest, 16:522–526, 2004.
- Nagore E., Insa A., Sanmartin O. Antineoplastic therapy-induced palmar plantar erythrodysesthesia (‘hand-foot’) syndrome: incidence, recognition and management. Am J Clin Dermatol, 1:225–234, 2000.
- Lokich J. J., Moore C. Chemotherapy-associated palmar-plantar erythrodysesthesia syndrome. Ann Intern Med, 101:798–799, 1984.
- Comandone A., Bretti S., La Grotta G. Palmar-plantar erythrodysestasia syndrome associated with 5-fluorouracil treatment. Anticancer Res, 13:1781–1783, 1993.
- Jacobi U., Waibler E., Schulze P. Release of doxorubicin in sweat: first step to induce the palmar-plantar erythrodysesthesia syndrome. Ann Oncol, 16:1210–1211, 2005.
- Robert M. Rifkin, et al. Pegylated liposomal doxorubicin, vincristine, and dexamethasone provide significant reduction in toxicity compared with doxorubicin, vincristine, and dexamethasone in patients with newly diagnosed multiple myeloma: a phase III multicenter randomized trial. Cancer. 106:848–858, 2006.
- Mullin C., Clifford C. A. Miscellaneous tumours: Hemangiosarcoma. In: Withrow S. J., Vail D. M., Page R. L., editors. Withrow and MacEwen’s Small Animal Clinical Oncology. 5th ed, pp. 773–778, 2020.
- Working P. K., Newman M. S., et al. Reduction of the cardiotoxicity of doxorubicin in rabbits and dogs by encapsulation in long-circulating, pegylated liposomes. The Journal of Pharmacology and Experimental Therapeutics, 289:1128–1133, 1999.
- Teske E., Rutteman G., et al. A randomized controlled study into the efficacy and toxicity of pegylated liposome encapsulated doxorubicin as an adjuvant therapy in dogs with splenic haemangiosarcoma. Vet Comp Oncol, 9(4):283–9, Dec 2011.
- Magdalena Walewska, Anna Małek, Bartosz Taciak, et al. PEG-liposomal doxorubicin as a potential agent for canine metastatic osteosarcoma – in vitro and ex ovo studies, 2023.
- Uwe Wollina, Reinhard Dummer, Norbert H. Brockmeyer, et al. Multicenter study of pegylated liposomal doxorubicin in patients with cutaneous T-cell lymphoma, 2003.






vetpeterburg
Ветеринарный Петербург