Введение
Лигнеозный конъюнктивит – редкий тип воспаления конъюнктивы, описанный у человека и собак, характеризующийся пролиферативным поражением слизистой глаза и формированием на ней мембраноподобных наложений. Медицинские исследования показали, что причиной лигнеозного конъюнктивита и сопутствующих поражений слизистой оболочки ротовой полости, дыхательных путей и половых органов являются мутации в генах плазминогена (PLG), вызывающие гипоплазминогенемию2,6,8. Низкое содержание плазминогена в слезной жидкости приводит к задержке на поверхности конъюнктивы фибриновой пленки и формированию плотных мембран (из-за которых этот вид конъюнктивита в некоторых медицинских источниках называют «древесным», «псевдомембранозным» или «фиброзным»). У человека заболевание диагностируют в детском возрасте по характерным клиническим симптомам, лабораторному обнаружению дефицита плазминогена и генетическому анализу (патология наследуется по аутосомно-рецессивному типу)1,2,3. Дефицит плазминогена и генетическая природа заболевания были выявлены и у собак4,11.Лечение лигнеозного конъюнктивита у собак включает разнообразную местную и, при необходимости, системную терапию и является длительным, иногда пожизненным, так как зачастую тяжелые системные проявления дефицита плазминогена приводят к ранней гибели животных или к необходимости проведения эвтаназии4,5. Небольшая распространенность патологии и недостаточная ее освещенность в ветеринарных публикациях может приводить к неверной диагностике и низкой эффективности лечения больных собак.
По данным автора, на момент написания этой статьи в русскоязычной литературе отсутствуют описания клинических случаев лигнеозного конъюнктивита у собак.
Клинический случай
В июне 2023 года на прием поступил кобель породы русский черный терьер в возрасте 2,5 года, весом 67 кг. Владельцы животного обратились с жалобами на длительное (в течение месяца) воспаление конъюнктивы обоих глаз у питомца. Наблюдались увеличение объема конъюнктивы и слизистые пленкообразные выделения из конъюнктивального мешка, локализованные билатерально. Общее состояние собаки оставалось без изменений, а результаты осмотра не выявили каких-либо иных отклонений от нормы. В течение этого месяца животное лечили местными препаратами (тобрамицин + дексаметазон, моксифлоксацин, фенилэфрин), однако положительной динамики в состоянии пациента не наблюдалось за исключением незначительного снижения количества выделений.По результатам биомикроскопии: пальпебральная конъюнктива билатерально гиперплазирована в виде гладкой овальной «складки» в конъюнктивальном своде, выступающей за пальпебральный край (более выражено на нижнем веке), что провоцирует вторичный эктропион нижних век (фото 1). Конъюнктива пальпебральной поверхности третьего века также гиперплазирована и образует валик вдоль свободного края третьего века, а на правом глазу гиперплазирована еще и конъюнктива бульбарной поверхности третьего века, что препятствует его прилеганию к поверхности роговицы (фото 2). В конъюнктивальном мешке было обнаружено умеренное количество густого, слизистого экссудата. Роговица обоих глаз прозрачная, целостная, передняя камера прозрачная, радужка спокойная, патологий роста ресниц не выявлено. Результат теста Ширмера – 15 мм/мин билатерально, флюоресцеиновый тест – отрицательный, внутриглазное давление – 17 мм рт. ст. в обоих глазах, офтальмоскопия – без отклонений от нормы.
По результатам осмотра было рекомендовано провести отбор материала гиперплазированной ткани для гистологического исследования с целью уточнения диагноза и исключения наличия новообразования.
В течение двухнедельного периода, предшествовавшего отбору материала, пациенту инстиллировали глазные капли, содержащие дексаметазон, полимиксин В и неомицин (4 раза в день), а также закладывали мазь с такролимусом 0,03% (2 раза в день). Наряду с отсутствием выраженного терапевтического эффекта владелец животного также отметил появление респираторных симптомов (эпизоды шумного дыхания через нос, чихание, обратное чихание и затруднение носового дыхания во время приема пищи). В связи с этим было принято решение не только провести отбор тканей конъюнктивы, но и выполнить диагностическую риноскопию.
По результатам риноскопии слева носовые ходы были проходимы на всем протяжении, без содержимого в просвете, в ростральной трети на носовой перегородке и дорсальной стенке носового хода были обнаружены множественные объемные образования с шероховатой поверхностью, сглаженными границами, неравномерно окрашенные, с белыми мелкими включениями (фото 3). Результат риноскопии носовых ходов с правой стороны был аналогичным, но на носовой перегородке этих образований было выявлено больше. При проведении биопсии материал из патологической ткани носовой полости и конъюнктивы отбирался с трудом, ткани наощупь были плотными, хрящеобразными, кровотечение было умеренным.
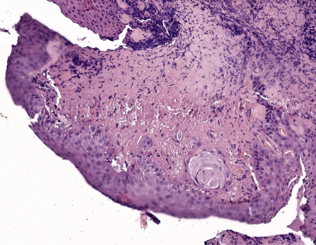
По результатам гистологического исследования образцов конъюнктивы было выявлено значительное расширение стромы за счет инфильтрации клетками воспаления, обнаружены крупные скопления макрофагов, которые располагались пластами и группами, были окружены коллагеновыми волокнами стромы и многочисленными разрозненными нейтрофильными лейкоцитами, плазматическими клетками. В образцах тканей из носовой полости отмечались выраженная пролиферация базальных слоев эпителия, плоскоклеточная метаплазия и дисплазия эпителия, строма также имела обширные участки накопления аморфного эозинофильного вещества (фото 4), окрашивание этого вещества PAS было положительным, Конго красным – отрицательным, что позволило исключить амилоидоз.
По совокупности клинических признаков и результатов гистологического исследования, указывающих на скопление фибрина в тканях слизистой оболочки носовой полости и глаз, был поставлен диагноз «лигнеозный конъюнктивит».
Лечение
Местное лечение глаз было дополнено раствором гепарина 5000 МЕ/мл по 1 капле 3 раза в день, и уже через 2 недели (к середине августа 2023 года) была отмечена выраженная положительная динамика – объем поражений конъюнктивы значительно уменьшился, положение нижних век стало нормальным (фото 5, 6).В течение последующего периода наблюдения, к ноябрю 2023 года, местное лечение было постепенно сокращено до однократного применения гепарина и такролимуса в день. Эта терапия продолжается до настоящего времени без рецидива пролифераций со стороны конъюнктивы. На момент последней онлайн-консультации, состоявшейся в январе 2025 года, у пациента был диагностирован заворот нижних век билатерально. В связи с этим была рекомендована хирургическая коррекция. Однако, по клиническим наблюдениям владельца, состояние конъюнктивы оставалось стабильным, без изменений объема и признаков ухудшения (фото 7, 8).
Помимо местного лечения, проводилось и системное, его назначение было связано с тем, что через неделю после начала местной терапии гепарином и появления первых улучшений состояния глаз владелец отметил внезапный (без выраженного провокатора) тяжелый эпизод нарушения носового дыхания: обильное выделение из обеих ноздрей прозрачного, жидкого содержимого, невозможность носового дыхания, тяжелое дыхание ртом. Тяжелые системные симптомы купировал сторонний ветеринарный специалист, он же проводил дальнейшее системное лечение. Были назначены преднизолон перорально по 5 мг 3 раза в день (разовая доза – менее 0,1 мг/кг, суточная – менее 0,25 мг/кг), монтелукаст перорально – 10 мг 1 раз в день, дезлоратадин перорально – 5 мг 1 раз в день. Общее состояние на фоне системной терапии улучшилось – эпизодов нарушения дыхания не повторялось, хотя умеренные прозрачные выделения из носа продолжались. Монтелукаст и дезлоратадин были отменены, однако при пробной отмене преднизолона, со слов владельца, у собаки возобновлялись интенсивное истечение прозрачного отделяемого из ноздрей и тяжелое дыхание, поэтому на протяжении всего последующего периода наблюдения (до января 2025 года) преднизолон использовался перорально по 20–10 мг в сутки (суточная доза – менее 0,2 мг/кг с учетом возрастания веса до 76 кг и снижения дозы до 10 мг в конце периода наблюдения).
На момент последней онлайн-консультации (январь 2025 года) общее состояние собаки оставалось стабильным: прозрачные истечения из носа сохранялись, но эпизоды нарушения дыхания отсутствовали.
Единственными дополнительными лабораторными исследованиями были общий клинический анализ крови, сделанный перед отбором материала для биопсии (все показатели в пределах нормы, кроме незначительного снижения лейкоцитов 5,72×109/л при нижней границе 6,0×109/л), и анализ мочи, сделанный в октябре 2023 года (наличие белка в моче, увеличено соотношение белок/креатинин – 0,97 при норме до 0,5). От проведения дополнительной диагностики причин нарушения дыхания (компьютерная томография, трахеобронхоскопия и др.) и иных анализов владелец отказался. Проведение анализа крови на плазминоген не представлялось возможным ввиду недоступности тест-системы.
Обсуждение
Первые описания симптомов лигнеозного конъюнктивита в ветеринарной литературе появились в зарубежной статье (Ramsey et al., 1996), где были представлены данные о четырех щенках добермана из одного помета с характерными поражениями глаз. Также было описано наличие патологии у трех родственных щенков скотч-терьера (Mason et al., 2016). В других источниках упоминаются молодые животные: мальтезе11, голден-ретривер5 в возрасте семи месяцев и йоркширский терьер10 в возрасте одного года. В большинстве случаев (7 из 10) пораженные животные были самками.В описанном нами случае и порода, и возраст не совпадали с данными предыдущих исследований, и, поскольку совпадений по породе также не отмечалось в ранее опубликованных случаях, можно предположить, что лигнеозный конъюнктивит не имеет породной предрасположенности. В нашем случае развитие заболевания у взрослой собаки, а не у щенка не соответствует имеющимся ветеринарным данным, однако в медицинских источниках имеются сообщения о возможности проявления заболевания у взрослых и пожилых людей, а не только у детей1,2, поэтому, возможно, и у собак лигнеозный конъюнктивит может проявляться не только в раннем возрасте.
Диагностика природы конъюнктивита в данном случае представляла сложную задачу, так как лигнеозный конъюнктивит – редкое состояние, которое не встречалось автору в медицинской практике. Еще одним ограничивающим фактором стало отсутствие на момент первичного приема ярко выраженных плотных пленок на поверхности конъюнктивы, описываемых в литературе в качестве характерного симптома5,7,10. По описанию (со слов владельца) пленкообразные выделения были у собаки в самом начале заболевания, за месяц до приема. Можно предположить, что проводимое в течение месяца лечение местными глюкокортикостероидами могло повлиять на клиническую картину и сделать ее не такой яркой.
Гистологическое исследование ткани конъюнктивы при наличии в ней объемных образований – ценный метод диагностики, который позволил в данном случае поставить диагноз, поскольку обнаруженная субэпителиальная эозинофильная аморфная масса описывается во всех источниках литературы как характерная особенность при лигнеозном процессе2,5,10,11. Гистологическое исследование также позволило исключить иные объемные процессы конъюнктивы, например лимфому. Отбор материала конъюнктивы происходил на фоне уже начатого местного лечения глюкокортикостероидами и такролимусом, что могло влиять на информативность образца, но образцы поражений слизистой носовой полости были показательными, поэтому в случаях со сходной офтальмологической клинической картиной можно рекомендовать отбор ткани на исследование в кратчайшие сроки и без предварительной терапии. Большинство авторов считают клинические симптомы, результат гистологического исследования с обнаружением аморфной эозинофильной массы (конгорот-негативной) субэпителиально, гиперплазию и дисплазию эпителия достаточными основаниями для постановки диагноза.
В пользу диагноза «лигнеозный конъюнктивит, вызванный дефицитом плазминогена», также говорило наличие системных симптомов со стороны дыхательных путей, пусть и не таких тяжелых, которые были описаны в литературе. У данного пациента наблюдались эпизодические нарушения носового дыхания и серозное отделяемое из носовых ходов, в то время как литературные источники указывают на кашель, густое отделяемое из носа, тяжелый гингивит и поражение почек4,5,11. Пролиферативные поражения слизистой носовой полости, обнаруженные при риноскопии, в данном случае были внешне похожи на поражения конъюнктивы, но имели вид более типичный, сходный с описанными в литературе поражениями на слизистой пищевода и ротовой полости5, вероятно, потому что слизистая дыхательных путей не подвергалась никакому терапевтическому воздействию до момента отбора материала. Протеинурия, сопровождающаяся повышением показателя соотношения белок/креатинин в моче, также упоминается как характерный симптом при дефиците плазминогена5,10. В нашем случае это отклонение было обнаружено значительно позже первичного приема и постановки офтальмологического диагноза, поскольку изначально у владельца отсутствовали жалобы на какие-либо изменения со стороны мочевыделительной системы собаки, и, возможно, это отклонение имело иные причины.
Из всех 10 собак с лигнеозным конъюнктивитом, упомянутых в литературе, у 8 описаны тяжелые системные симптомы: пролиферативные массы, изъязвления и пленки на деснах и ротоглотке, густые гнойные выделения из носа, кашель, протеинурия. Наиболее легкие системные симптомы (гингивит и протеинурия) наблюдали у годовалого йоркширского терьера, который к концу периода наблюдения (2 года) находился в ремиссии на местном поддерживающем лечении, в то время как остальные пораженные собаки погибали или были эвтаназированы из-за тяжелых системных расстройств (Torres et.al., 2009)4,5,7,11.
Системные симптомы, возникшие в данном клиническом случае, не могут быть однозначно интерпретированы как проявления дефицита плазминогена, поскольку отсутствовала возможность проведения анализа крови для определения его уровня. Тем не менее результаты такого анализа не всегда являются показательными, поскольку литературные данные демонстрируют случаи, когда у пораженной собаки дефицит плазминогена не выявлялся, в то время как он обнаруживался у ее клинически здорового однопометника4. Данный случай соответствует описанию (Torres et al., 2009) продолжительного стабильного состояния пациента: системного (с умеренными системными симптомами) и в отношении конъюнктивы (период наблюдения составляет 1,5 года). Тем не менее требуется проведение дополнительного исследования для выяснения причин вариабельности степени тяжести системных симптомов у различных животных с диагностированным дефицитом плазминогена.
Описаны различные варианты подхода к лечению лигнеозного конъюнктивита как у человека, так и у собак. Методы, с разным успехом применяемые в медицине человека и в ветеринарии, включают хирургическую резекцию пораженной ткани с последующим использованием амниотической мембраны9 (или без него1,3), местное использование циклоспорина9, такролимуса10, глюкокортикостероидов2,5,10, свежезамороженной плазмы1, плазминогена6, гепарина3,10, системное использование иммуносупрессоров5. В данном случае местное лечение дексаметазоном 0,1% в сочетании с такролимусом 0,03% не дало выраженных улучшений, в то время как добавление в схему местного лечения гепарина 5000 МЕ/мл привело к регрессу объемных образований конъюнктивы. Считается, что гепарин предотвращает накопление фибриновых отложений за счет ускорения активности антитромбина и нейтрализации фактора Xa и тромбина3. Местное лечение свежезамороженной плазмой в описываемом нами случае не проводилось из-за его финансовой труднодоступности. Системное лечение глюкокортикостероидами проводилось под контролем стороннего специалиста, поэтому достаточно сложно сделать вывод о возможном положительном влиянии такой терапии на состояние конъюнктивы (доза была очень низкой, и уменьшение объема тканей конъюнктивы было отмечено примерно за неделю до начала системного применения преднизолона), а о положительном влиянии на дыхательную систему можно судить только со слов владельца.
Период наблюдения за пациентом на данный момент составляет 1,5 года, что позволило сделать выводы об эффективности местного лечения и возможности контроля офтальмологических симптомов, однако требуется дальнейшее наблюдение (в том числе и за системными симптомами) в динамике, поскольку предполагается системная причина – дефицит плазминогена.
Представленный клинический случай может быть полезен для практикующих врачей. Повышение осведомленности ветеринарных офтальмологов о лигнеозном конъюнктивите может помочь верно диагностировать и контролировать данное заболевание.
Список литературы:
- Almeida S. C. G. B., Marback P. M. F. Ligneous conjunctivitis: Fresh-frozen plasma and heparin use intra-and postoperatively, a report of two cases. Arq Bras Oftalmol, 87(3): 99–103, Mar 22, 2024.
- Dimopoulos D., Zacharioudakis A., Kazamias G., Danilatou V., Katerini D., Nodarakis M., Koutentaki M. E., Koutentakis P. Ligneous conjunctivitis associated with type I plasminogen deficiency: A rare case. Eur J Ophthalmol, 32(5): NP1–NP4, Sep 2022.
- Hiremath M., Elder J., Newall F., Mitchell S., Dyas R., Monagle P. Heparin in the long-term management of ligneous conjunctivitis: a case report and review of literature. Blood Coagul Fibrinolysis, 22(7): 606–9, Oct 2011.
- Mason S. L., Fisher C., Ressel L., Bommer N. X., Buckley L. M., Nuttall T. Presentation, clinical pathological and post-mortem findings in three related Scottish terriers with ligneous membranitis. J Small Anim Pract, 57(5): 271–276, May 2016.
- McLean N. S., Ward D. A., Hendrix D. V. H., et al. Ligneous conjunctivitis secondary to a congenital plasminogen deficiency in a dog. Journal of the American Veterinary Medical Association, 232: 715–721, 2008
- Panfili F. M., Valente P., Ficari A. et al. Long-term follow-up in a pediatric patient with Ligneous Conjunctivitis due to PLG gene mutation in topical plasminogen treatment after successful use of ocular prosthesis for aesthetic rehabilitation: a case report. Ital J Pediatr, 49: 101, 2023.
- Ramsey D. T., Ketring K. L., Glaze M. B., Knight B., Render J. A. Ligneous conjunctivitis in four Doberman pinschers. J Am Anim Hosp Assoc, 32(5): 439–447, September 1, 1996.
- Schuster V., Seregard S. Ligneous conjunctivitis. Surv Ophthalmol, 48(4): 369–88, Jul-Aug 2003.
- Tok O. Y., Kocaoglu F. A., Tok L., Burcu A., Ornek F. Treatment of ligneous conjunctivitis with amniotic membrane transplantation and topical cyclosporine. Indian J Ophthalmol, 60(6): 563–6, Nov-Dec 2012.
- Torres M.-D., Leiva M., Tabar M.-D., et al. Ligneous conjunctivitis in a plasminogen-deficient dog: clinical management and 2-year follow-up. Veterinary Ophthalmology, 12: 248–253, 2009.
- Turba M. E., Ostan P. C., Ghetti S., Dajbychova M., Dondi F. and Gentilini F. A large deletion in the Plasminogen gene is associated with ligneous membranitis in a Maltese dog. Anim Genet, 52: 767–771, 2021.








vetpeterburg
Ветеринарный Петербург