Список сокращений:
АКТГ – адренокортикотропный гормон;
ГАК – гиперадренокортицизм;
ГГАК – гипофизарный гиперадренокортицизм;
Т4 общ. – общий тироксин;
ТТГ – тиреотропный гормон.
У представителей некоторых пород собак (например, померанский шпиц, аляскинский маламут, чау-чау, кеесхонд, миниатюрный пудель, той-пудель) с течением времени могут развиваться симметричные алопеции, которые сопровождаются гиперпигментацией кожи. К таким породам относятся собаки, имеющие так называемый двойной шерстный покров – густой подшерсток, представленный короткими волосками, поверх которых располагаются более длинные волосы, носящие название защитных2.
В литературных источниках это состояние приобрело ряд различных названий, но в свое время появился термин «алопеция Х», отражающий таинственность природы болезни. До тех пор пока будущие исследования не прольют свет на этот вопрос, можно продолжать использовать термин «алопеция Х», который применяют многие дерматологи для обозначения данного заболевания2.
Алопеция Х
Алопеия Х может быть присуща собакам многих пород, но наиболее часто мы сталкиваемся на приеме с представителями породы померанский шпиц. Это, по-видимому, обусловлено территориальным предпочтением в выборе домашних питомцев определенной породы. Сильная предрасположенность и повышенная частота случаев заболевания среди родственных животных дает основания предполагать его наследственную природу. Начаты генетические исследования, и уже исключены некоторые гены-кандидаты3.Изменения качества шерсти могут происходить в промежутках между одним годом и десятью годами жизни (нет четкой возрастной предрасположенности). Обычно заболевание возникает у животных в возрасте от 9 месяцев до 2 лет, однако оно может развиться и гораздо позднее2. Эта проблема может возникать как у кастрированных, так и у интактных собак без половой предрасположенности. Первые изменения связаны с тем, что волосяной покров приобретает тусклый вид, после чего возникает потеря волос из первичных волосяных фолликулов, при этом волосы во вторичных фолликулах сохраняются, а шерсть приобретает «щенячий» вид. Алопеции часто первоначально возникают в областях трения (например, шеи об ошейник, кожи груди о подстилку и т. д.), а также на каудальной поверхности бедер. От первоначальных изменений шерсти до выпадения волос в некоторых случаях проходит довольно много времени (около года). По мере формирования алопеций возникает и гиперпигментация кожи, но не у каждого пациента.
В список дифференциальных диагнозов обычно входят эндокринные патологии: гипотиреоз, ГАК, гиперэстрогенизм и дерматологические патологии, такие как сезонная боковая алопеция, дисплазии волосяных фолликулов, аденит сальных желез, инфекционные фолликулиты (хотя последние относятся к маловероятным причинам).
Соответственно, когда мы сталкиваемся с такими пациентами на приеме, проводим следующую диагностику: глубокие соскобы, исследования крови (гематологическое, развернутый биохимический анализ сыворотки, при наличии подозрения на вероятность гипотиреоза определяем концентрации Т4 общ. и ТТГ, при наличии подозрения на вероятность ГАК проводим динамические функциональные пробы). В дальнейшем, если имеют место изменения крови, указывающие на возможную эндокринологическую проблему, пациенту потребуются дополнительные тесты, позволяющие с уверенностью утверждать, имеет он эндокринные заболевания или нет.
Стоит отметить, что проведение тестирования функции щитовидной железы и надпочечников не является некой рутинной процедурой и должно осуществляться только после критической оценки состояния пациента клиницистом (по возможности – специалистом-эндокринологом). В противном случае врач рискует пойти по неверному диагностическому пути, а владелец – понести дополнительные необоснованные финансовые потери.
Если у клинициста возникают серьезные подозрения на вероятность наличия у пациента ГАК, то в этом случае для его диагностики могут потребоваться функциональные динамические пробы (например, МДП, тест с АКТГ, определение уровня АКТГ), а также применение методов визуальной диагностики (УЗИ, КТ, МРТ), но их подробное обсуждение выходит за рамки данной статьи. Например, на фото 1-3 представлен пациент породы померанский шпиц с характерной для алопеции Х локализацией, «щенячей» шерстью, гиперпигментацией облысевших участков, но при этом демонстрирующий симптомы системного заболевания: полиурию, полидипсию, полифагию, мышечную слабость. Комбинация дерматологических симптомов с системными проявлениями, а также результаты рутинных лабораторных тестов позволили предположить у собаки гиперадренокортицизм (именно этот диагноз гипофизарной формы в дальнейшем и был подтвержден).
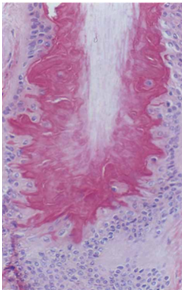
Гистологические исследования кожи при алопеции Х указывают на наличие изменений в волосяных фолликулах и эпидермисе (эпидермальный и фолликулярный ортокератозный гиперкератоз, дилатация волосяных фолликулов, избыточная трихолеммальная кератинизация, эпидермальный меланоз, телогенизация волосяных фолликулов). Могут наблюдаться некоторые особенности фолликулярной дисплазии, такие как переполненные по причине ортокератозного гиперкератоза волосяные фолликулы, которые образуют причудливые фигуры, напоминающие щупальца осьминога, а также аномалии, относящиеся к меланизации волос и волосяных фолликулов. Все эти изменения свойственны большинству эндокринологических проблем (таких, как гипотиреоз и ГАК), а потому биопсия и гистология кожи вряд ли смогут приблизить врача к постановке такого диагноза. В связи с этим алопеция Х – некий «диагноз исключения», который устанавливается посредством дифференциации всех иных причин, способных приводить к спонтанной алопеции. Достоверно дифференцировать алопецию Х и другие заболевания с помощью гистологического исследования на 100% невозможно. Однако при этой патологии обнаруживается больше волосяных фолликулов в форме «языка пламени», и эта форма более выражена, чем при других дерматопатиях. Иногда такие фолликулы диффузно распределены в биопсийных образцах. Они характеризуются наличием больших «шипов» слившегося кератина, пронизывающих наружное корневое влагалище вплоть до стеклянной мембраны волосяного фолликула, что придает гистологической картине вид пламени3. Как уже было отмечено, такие фолликулы могут отмечаться и при других, например эндокринных, дерматозах (фото 4).
Лечение: возможности и необходимость
Следует отметить, что собаки, имеющие алопецию Х, одновременно могут испытывать зуд, связанный с теми или иными причинами (аллергии, паразиты и пр.). Исходя из этого прежде стоит взять под контроль зуд и воспаление кожи, которое им вызывается. В том случае, если шерстный покров не восстановится после соответствующего лечения, имеет смысл устремить свое врачебное внимание в сторону спонтанных алопеций, начав поиск их возможных причин.Нужно отметить, что не существует каких-либо методов, гарантирующих 100%-ный и устойчивый эффект от терапии. Для лечения таких собак применяются разные средства, однако они не всегда эффективны, и, поскольку остановка цикла развития волоса представляет собой лишь косметический дефект, необходимо оценить риски терапии в сравнении с пользой от нее.
Кастрация
Изначально рекомендуется проведение кастрации, так как у многих собак после операции формируется волосяной покров. Однако через определенный период времени (в среднем через год) вновь может возникнуть алопеция. Поскольку на сегодняшний день этот метод показал себя очень эффективным и является относительно безопасным, мы часто рекомендуем его владельцам наших пациентов. На фото 5-8 демонстрируется состояние пациента нашей клиники (померанский шпиц, кобель в возрасте 6 лет) до кастрации, а на фото 9 – спустя год после проведения кастрации.
Альтернативным методом у некастрированных самцов является применение деслорелина1,8, используемого для так называемой химической кастрации. Мы применяем его в нашей клинике (имплантат, содержащий 4,7 мг или 9,4 мг) и наблюдаем положительный результат. Также (как и в опубликованных данных) мы наблюдаем рост шерсти у пациентов спустя 2–4 месяца с момента введения имплантата. Поскольку, вероятно, эффект может наблюдаться только у некастрированных самцов собак1, мы не используем это лекарственное средство для самок. Кроме того, за счет индукции эструса применение данного метода у самок может быть сопряжено с рядом сложностей.
Дермароллер
Иным методом лечения является применение дермароллера7. Идея заключается в том, чтобы стимулировать волосяные фолликулы посредством механического воздействия. Эта процедура болезненная и проводится под общей анестезией. Очевидно, что у кого-то из пациентов не будет достигнут рост волос, и остаточные волоски, которые могли бы некоторое время находиться в волосяных фолликулах, будут механически устранены. В таком случае этот способ создаст лишь дополнительную косметическую проблему. Мы не использовали этот метод в нашей практике, а по отзывам коллег, применявших его, данный метод не является надежным.Медроксипрогестерона ацетат
Также описана практика применения медроксипрогестерона ацетата у 8 померанских шпицев9. В исследование были включены кастрированные самцы и самки. Только у одной собаки наблюдался полный рост шерсти, а у трех – частичный. Вероятно, этот метод можно применять в практике в том случае, когда речь идет о неинтактных собаках. При этом необходимо понимать, что он может не иметь должного эффекта.Мелатонин
Терапия мелатонином может позволить достичь эффекта примерно в 40% клинических случаев и является безопасной. Единственное противопоказание - сахарный диабет, поскольку применение мелатонина приводит к развитию инсулинорезистентности в связи с тем, что волосяные фолликулы не имеют рецепторов к мелатонину (как это работает – неизвестно). Рекомендуемые дозы препарата – 3 мг каждые 12 часов для малых пород собак и 6–12 мг каждые 12 часов для крупных пород. Автор статьи Руппель В. В. использовал этот метод для лечения своих пациентов (примерно 20 шпицев), но не отметил позитивного эффекта ни у одного из них.Препараты для терапии ГАК
Описана методика применения митотана («Лизодрен», дихлордифенилдихлорэтан) в суточных дозах от 15 до 25 мг/кг. Далее этот препарат используют еженедельно (согласно схемам терапии, предложенным для лечения ГАК). Митотан является адренолитиком, поэтому его применение может быть опасно.Трилостан («Веторил», ингибитор 3β-гидроксистероиддегидрогеназы) – еще один препарат, который применяется при лечении пациентов с ГАК и может быть эффективным также при алопеции Х. При проведении терапии ГАК доза трилостана колеблется от 3,0 до 10,8 мг/кг/сутки (в этих же дозах он может использоваться и при алопеции Х). Данный препарат является более безопасным, нежели митотан, но следует помнить о том, что у кого-то из пациентов его применение может привести к некрозу коры надпочечников.
Нет каких-либо конкретных объяснений механизмов эффективности лечения алопеции Х этими препаратами. При их использовании в динамике следует осуществлять тест с АКТГ для оценки вероятности развития гипоадренокортицизма5. Поскольку алопеция Х является не болезнью, а, скорее, косметической проблемой, не отражающейся на здоровье пациентов, мы не используем эти препараты в нашей практике с данной целью. Более того, в ходе беседы с врачом и оценки рисков владельцы обычно сами предпочитают алопецию потенциальным побочным эффектам и выбирают альтернативные средства лечения или же вовсе не лечат своих питомцев.
Здесь следует отметить, что существует опыт применения трилостана, которым с нами поделился один из зарубежных коллег. Он использовал этот препарат для терапии лишь нескольких собак по желанию владельцев, но только после того, как им было объяснено, что алопеция Х – это косметическая проблема, не угрожающая здоровью их питомцев, и подробно были даны пояснения в отношении возможных побочных эффектов на фоне использования трилостана. В практике этого врача эффективной оказалась доза 2 мг/кг/сутки. Далее, после достижения эффекта, он применял этот препарат каждый 2–3-й день.
Применение антиандрогенов
А. Н. Герке в статье в 2015 году описала свой опыт применения антиандрогенов: «По собственному опыту автора, финастерид в сочетании с мелатонином способствовал росту шерсти у 3 из 5 (60%) кобелей померанских шпицев, что сопоставимо с результатами использования мелатонина в монотерапии. Суточная доза финастерида составила 5 мг/животное, мелатонина – 6 мг/животное (в два приема), курс лечения – до 6 месяцев. При этом у одного из 5 кобелей динамики не наблюдали, у одного – только частичное отрастание шерсти на бедрах, корпусе, шее, с сохранением алопеции в области хвоста и каудальной поверхности бедер, у трех – практически полное отрастание шерсти в течение 3–5 месяцев. На протяжении года последующего наблюдения шерстный покров оставался неизменным»10.Осатерона ацетат («Ипозан» [Ypozane], производство «Вирбак») – стероид с мощным антиандрогенным и частичным прогестагеновым эффектом, лицензированный для терапии доброкачественной гиперплазии простаты у собак. Антиандрогенный эффект осатерона обусловлен ингибированием рецепторов к андрогену на поверхности клеток простаты и рецепторов к тестостерону внутри них. В дополнение к этому применение осатерона ацетата показывает кратковременное снижение сывороточного кортизола.
Один из участников интернет-платформы (VetDerm Listserve) сообщил о хорошем успехе использования осатерона ацетата (у 70–75% среди 20 собак), который применялся недельным курсом с интервалом каждые 3 месяца.
В одной публикации указано, что препарат «Ипозан» применяли у 13 померанских шпицев с алопецией Х (доза составила 0,25–0,5 мг/кг/сутки в течение 7 дней). У семи кобелей наблюдалось полное отрастание шерсти, у трех – частичное, еще у трех не произошло никаких изменений. Каких-либо побочных эффектов не отмечалось4.
Выводы
Мы, как и многие другие ветеринарные специалисты, относимся к проблеме алопеции Х как к косметическому дефекту. Такое отношение распространяется и на планирование диалога с клиентами. Самый яркий позитивный лечебный ответ наблюдался после кастрации (химической или хирургической). Однако мы не настаиваем на каком-либо определенном (из имеющихся) способе лечения, предоставляя владельцам все возможные альтернативы. Следует отметить, что нередко владельцы собак с алопецией Х выбирают путь «не лечить». Но при этом клиницист должен критически оценить вероятность наличия у пациента патологий, способных маскироваться под алопецию Х. Например, опасным для здоровья взрослого померанского шпица будет упустить наличие у него ГАК или пропустить наличие опухоли семенника, продуцирующей эстроген. Внешний вид и локализация алопеций у эндокринологического пациента может быть очень схож с внешним видом собаки при алопеции Х. В подобных ситуациях внимательный и скрупулезный клинический осмотр такого пациента может позволить усомниться в том, что алопеция Х является ведущим диагнозом. В таком случае направление мышления врача-клинициста будет верным, а перспективы выздоровления – многообещающими. На этом этапе оценки состояния пациента очень важен коллективный подход к диагностике и решению проблемы, поэтому нередко мы рекомендуем владельцам животных с подозрением на алопецию Х посетить не только дерматолога, но и эндокринолога.Список литературы:
- Albanese F., Malerba E., Abramo F., Miragliotta V., Fracassi F. Deslorelin for the treatment of hair cycle arrest in intact male dogs. // Veterinary Dermatology. – 2014, 25(6). – Р. 519–522.
- Feldman E. C., Nelson R. W., Reusch C. and Scott-Moncrieff J. C. Canine and Feline Endocrinology, 4th Edition. – Imprint: Saunders, 2015. – 800 р.
- Gross T. L., Ihrke P. J., Walder E. J., Affolter V. K. Skin disease of the dog and cat. Clinical and histopathologic diagnosis. 2nd Edition. – Oxford, UK: Blackwell Science; 2005. – Р. 944.
- Linek M. F. What makes the hair grow back. // 27th Annual congress of ESVD-ECVD. – 2015. – Salzburg, Austria. – P. 76–84.
- Muller and Kirk's Small Animal Dermatology. 7th Edition. – Saunders, 2012. – 948 р.
- Scott D. W. Color Atlas of Farm Animal Dermatology. – Saunders, 1989. – 1007 р.
- Stoll S., Dietlin C., Nett-Mettler C. S. Microneedling as a successful treatment for alopecia X in two Pomeranian siblings. // Veterinary Dermatology. – 2015, 26(5) – Р. 387–390.
- Cerundolo R., Warren S. The use of deslorelin to promote hair regrowth in dogs with alopecia X. // Veterinary Dermatology. – 2013, 24. – Р. 377–397.
- Watson F. Treatment of alopecia X with medroxyprogesterone acetate. Veterinary Dermatology. – 2013, 24(6) – Р. 624–627.
- Герке А. Н. Алопеция X. Часть 2 // Ветфарма. – 2015, № 6 (28). – С. 38–47.


vetpeterburg
Ветеринарный Петербург