Ветеринарная клиника доктора Сотникова, г. Санкт-Петербург.
Дерматофития – это инфекционное заболевание кожи собак и кошек, вызываемое дерматофитами – грибами, использующими кератин (фибриллярный белок) в качестве основного источника питательных веществ. Кератин составляет основу рогового слоя эпидермиса, волос и когтей, что делает кожу, шерсть и когти животных особенно уязвимыми для дерматофитов.
Этиология дерматофитов
Дерматофиты входят в основную группу грибов, патогенных для теплокровных животных, включая человека. Считается, что в процессе эволюции некоторые виды дерматофитов покинули почву и адаптировались к жизни в тканях, содержащих кератин, у многих видов млекопитающих.На основе естественной среды обитания дерматофиты классифицируются следующим образом:
- Геофильные – обитают в почве и могут вызывать заболевания у людей и животных при прямом контакте с зараженной почвой.
- Зоофильные – приспособились к паразитированию на животных.
- Антропофильные – адаптировались к жизни на коже человека.
Возбудители дерматофитии у собак. Основными возбудителями дерматофитии у собак являются дерматофиты родов Microsporum и Trichophyton. По этой причине в литературных источниках термины «трихофития» и «микроспория» часто используются для описания дерматофитии у животных.
Инфекцию у псовых вызывают 3 вида грибов15:
- Microsporum canis (рис. 1) является наиболее распространенным патогеном, вызывающим заболевание у собак. Этот гриб паразитирует на коже животных, но также способен длительное время (до 1,5 лет) сохраняться в окружающей среде.
- Microsporum gypseum (рис. 2) обитает в почве, что делает его распространенным источником инфекции для собак, контактирующих с загрязненной землей.
- Trichophyton mentagrophytes (рис. 3) преимущественно поражает грызунов и контаминирует их гнезда.
Факторы риска. Относительно частоты встречаемости в клинической практике распространенность дерматофитии у собак невелика по сравнению с другими кожными заболеваниями1. Болезнь чаще регистрируется у собак, находящихся в состоянии физиологического стресса, в условиях скученного содержания (питомники, приюты, гостиницы для животных), копающихся в земле и охотящихся на грызунов3. Теплый, влажный климат является предрасполагающим фактором для развития инфекции.
В группу повышенного риска входят щенки, молодые собаки и представители породы йоркширский терьер2.
Наличие микротравм, эктопаразитов, повышенная влажность поверхности кожи создают оптимальные условия для развития болезни4.
Под угрозой инфицирования находятся животные с ослабленным иммунитетом. К этой категории относятся животные, страдающие от эндокринных, вирусных, бактериальных и онкологических патологий, а также те, кто проходит химиотерапию или получает лечение глюкокортикостероидами.
Пути передачи. Инфекция, вызываемая грибом Microsporum canis, передается при контакте с зараженными животными, преимущественно с бродячими кошками. Факторами передачи инфекции служат загрязненные объекты окружающей среды, а также инфицированные предметы, используемые для груминга и ухода за животными (расчески, машинки для стрижки, ножницы, подстилки, ошейники, переноски и др.).
Колонизация кожи дерматофитами рода Microsporum gypseum происходит вследствие контакта собак с почвой, содержащей споры этих грибов.
Заражение грибами Trichophyton mentagrophytes возникает при контакте с резервуарными хозяевами – грызунами и их жилищами.
Патогенез
Защитные свойства кожи препятствуют внедрению дерматофитов, что объясняет бессимптомное носительство у некоторых животных. Травмы кожных покровов и иммунодефицитные состояния повышают риск развития заболевания5.Основой патогенных свойств дерматофитов считается способность синтезировать кератинолитические ферменты (кератиназы), которые разрушают кератин. Попадая на кожу и шерсть собаки, артроспоры гриба начинают размножаться и, благодаря кератиназам, проникают в роговой слой эпидермиса и кутикулу растущего волоса, где формируют споры.
В фазе телогена синтез кератина в волосе прекращается, что препятствует дальнейшему размножению дерматофитов. Это может привести к спонтанному выздоровлению или повторному инфицированию при переходе волоса в фазу анагена. Самоизлечение может также происходить в результате воспалительной реакции организма на инфекцию. Клинические симптомы дерматофитии обычно проявляются спустя 1–3 недели после заражения6.
Клинические симптомы
Наиболее распространенными проявлениями дерматофитии у собак являютсяасимметричные очаговые или многоочаговые алопеции, сопровождающиеся шелушением, иногда эритемой. Эти поражения чаще всего локализуются на морде, ушах и грудных конечностях, но также могут возникать на любой части тела (рис. 4, 5). В большинстве случаев инфекция локализована, зуд либо отсутствует, либо выражен слабо.
При хроническом течении заболевания развиваются струпья, паронихия и диффузная алопеция с корочками. Поражения могут носить генерализованный характер (рис. 6).
Менее типичным проявлением у собак является керион, который представляет собой очаг в виде нодулы (чаще – на коже головы, реже – в других областях), вызванный воспалительной реакцией в ответ на дерматофитную инфекцию (рис. 7). К нетипичным клиническим проявлениям заболевания относят также мокнущие поражения кожи.
На фоне дерматофитии у собак может развиваться вторичная пиодермия.
Методы диагностики
На данный момент не существует универсального метода, который можно было бы назвать золотым стандартом для выявления дерматофитии. Каждый из применяемых методов исследования может подтвердить наличие заболевания, но ни один из них не способен полностью исключить болезнь1.Важно учитывать, что ряд других дерматологических заболеваний, таких как демодекоз, поверхностная пиодермия и листовидная пузырчатка, могут проявляться клинической картиной, сходной с микроспорией.
Диагноз «дерматофития» основывается на комплексе вспомогательных тестов:
Исследование под люминесцентной лампой Вуда (ЛЮМ-диагностика). Лампа Вуда – источник УФ-излучения, под действием которого некоторые штаммы Microsporum canis флуоресцируют ярко-зеленым цветом (рис. 8). Это свечение обусловлено продуктами грибкового метаболизма и позволяет выявить пораженные стержни волос.
Однако применение препаратов для местной терапии (при иных заболеваниях), а также наличие корочек и чешуек может давать ложноположительное свечение и приводить к ошибочной интерпретации теста.
Отрицательный результат ЛЮМ-диагностики не исключает наличия микроспории, поэтому для верификации диагноза необходимы дополнительные методы исследования.
Микроскопия волос (трихоскопия). Микроскопическое исследование подозрительных или светящихся под лампой Вуда волос является простым и надежным диагностическим инструментом. При положительном результате можно увидеть гифы и споры (рис. 9). Этого достаточно для постановки диагноза (при условии положительного результата ЛЮМ-теста). Отрицательный результат теста не исключает наличия заражения.
Посев на грибы. Посев на специальную грибковую среду помогает выявить наличие или отсутствие возбудителей дерматофитии. Данный метод позволяет достоверно определить вид грибкового патогена, вызывающего заболевание. Положительный результат исследования свидетельствует о заражении, однако отрицательный результат не исключает возможность наличия заболевания7. .
Для посева используются специализированные питательные среды для роста дерматофитов – агар Сабуро и DTM (Dermatophyte Test Medium). Агар Сабуро представляет собой универсальную среду для культивирования грибов, а DTM – модифицированный вариант, содержащий индикатор pH, который меняет цвет с желтого на красный при росте дерматофитов, а также компоненты для подавления роста сопутствующей микрофлоры. Следует учитывать, что некоторые штаммы Microsporum сanis не вызывают окрашивание агара DTM в красный цвет. Материалом для посева служат подозрительные (обломанные, деформированные) волосы и чешуйки из очага поражения, собранные с помощью стерильного хирургического зажима.
Для обнаружения микроспории у бессимптомных носителей применяют метод Маккензи – вычесывание шерсти стерильной зубной щеткой с дальнейшим посевом полученного материала на питательной среде8.
В среднем начало роста колоний дерматофитов наблюдается в течение 5–14 дней. Результат посева на дерматофитию считается отрицательным, если не выявлено никакого роста на 14-й день инкубации9. Идентификацию возбудителя проводят на основании макроскопического анализа подозрительных колоний и посредством микроскопии мазков-отпечатков с их поверхности. Для успешной интерпретации результата посева практикующим врачам можно пользоваться следующим электронным ресурсом: ссылка
Дерматоскопия (дермоскопия) – диагностический метод, предназначенный для быстрого и детального исследования кожных покровов и волос. Для проведения процедуры используется дермоскоп – дерматологический прибор, оснащенный увеличительной лупой и источником света.
Современные модификации дермоскопов позволяют выводить полученное изображение на цифровые носители.
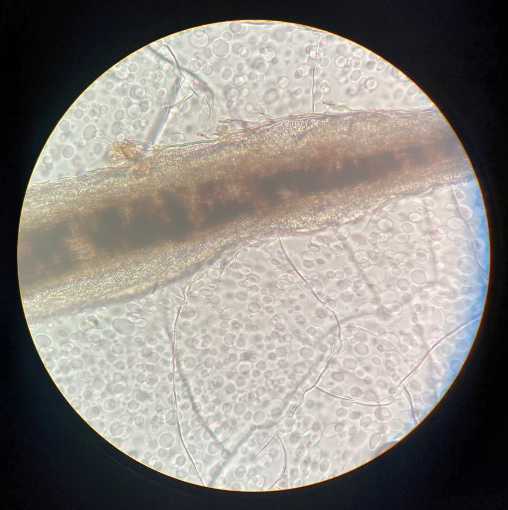
При микроскопическом исследовании инфицированных волос можно наблюдать характерные признаки, такие как легкая изогнутость (феномен «запятой»), ломкость и утолщение (рис. 10)10,17.
Дерматоскопия является ценным тестом для выявления зараженных дерматофитами волос, однако для постановки окончательного диагноза потребуется дополнительная диагностика.
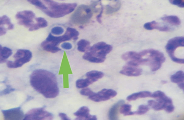
Цитологическое исследование актуально при наличии узелковых (подозрение на керион) и мокнущих поражений на коже11. Подходящими методиками для взятия образцов являются скотч-тест, мазок-отпечаток, поверхностный соскоб12 и тонкоигольная аспирационная биопсия с последующим окрашиванием материала экспресс-красителями «Дифф-Квик» (Diff-Quick).
При положительном результате микроскопии можно обнаружить артроспоры – округлые или овальные базофильные структуры, окруженные тонкой, бесцветной оболочкой (рис. 11)12. Реже выявляются гифы – базофильные линейные структуры, разделенные светлыми «перегородками».
Гистологическое исследование. В случаях, если дерматофитная инфекция не была достоверно подтверждена с помощью рутинных методов исследования, а также при подозрении на другие заболевания со схожими клиническими проявлениями может потребоваться гистологическое исследование кожи.
Для визуализации грибковых элементов в тканях применяются специальные методы окрашивания гистологических срезов, такие как реакция Шифф-йодной кислоты (ШИК/PAS) и метод серебрения по Грокотту – Гомори (GMS).
ПЦР-диагностика основана на определении участков ДНК дерматофитов. Тест обладает высокой специфичностью и чувствительностью. Необходимый материал для исследования – корочки, чешуйки, волоски из очагов поражений. ПЦР не может отличить носительство от истинного заболевания, определяет ДНК как жизнеспособных, так и нежизнеспособных грибов.
Лечение
Сочетание системной и наружной терапии, а также обработка внешней среды необходимы для успешного излечения животного от инфекции.Эффективный иммунный ответ способен привести к самовыздоровлению. Терапевтические меры необходимы для предотвращения распространения инфекции среди других животных и человека.
Лечение продолжается до полного исчезновения клинических симптомов у животного и получения двух отрицательных результатов посева на грибковую среду с интервалом в две недели.
Системное лечение
Системные противогрибковые препараты воздействуют на мицелий гриба, обладая рядом побочных действий. Наиболее безопасными считаются следующие препараты:- Итраконазол – очень эффективен, но противопоказан при заболеваниях печени и наличии печеночной недостаточности.
- Доза: 5–10 мг/кг каждые 12–24 ч. Через 14 дней приема возможен пульс-режим: прием через день или неделя через неделю.
- Кетоконазол – хорошо переносится, но в редких случаях может вызвать лихорадку, рвоту, диарею, неврологические нарушения.
- Доза: 5–10 мг/кг каждые 24 ч.
- Флуконазол – низкая эффективность, усиливает активность антикоагулянтов, тиазидных диуретиков, циклоспорина, эуфиллина и антигистаминных препаратов.
- Доза: 2,5–5 мг/кг каждые 12–24 ч.
- Тербинафин – эффективен при поражении когтей, не обладает тератогенностью и гепатотоксичностью, является препаратом выбора для лечения щенков.
- Доза: 30–40 мг/кг 1 раз в день14.
Наружное лечение
Местная терапия играет важную роль в профилактике передачи инфекционных заболеваний и предотвращения загрязнения окружающей среды. Она применяется в комплексе с системным лечением для достижения максимального терапевтического эффекта. Наружные обработки обязательны для всех животных, контактировавших с больным представителем.Для достижения наилучших результатов рекомендуется использовать следующие средства:
Растворы для купания/ополаскивания:
- 0,2%-ный раствор энилконазола – высокоэффективен при применении 2 раза в неделю;
- 2%-ный раствор сернистой извести – применяется 2 раза в неделю14.
- Комплексный шампунь с 2%-ным хлоргексидином и 2%-ным миконазолом13 – эффективен при использовании 2 раза в неделю.
Обработка внешней среды
Споры дерматофитии, находящиеся в окружающей среде, сохраняют способность к инфицированию чрезвычайно долго. В связи с этим необходима дезинфекция помещения, проводимая наряду с лечением.Для этой цели применяют:
- 1–10%-ные растворы гипохлорита натрия;
- 0,2–0,6%-ные растворы энилконазола.
Следует отметить, что собственно дезинфекция в некоторых случаях может оказаться недоступной. Это может быть обусловлено агрессивным воздействием гипохлорита натрия на объекты внешней среды и слизистые оболочки человека и животных либо в связи с отсутствием энилконазола на рынке и его высокой стоимостью. В таких случаях целесообразно ограничиться частой механической очисткой внешней среды для снижения концентрации спор дерматофитов и минимизации риска инфицирования.
Профилактика
Интерес к разработке вакцины для профилактики и/или терапии против дерматофитии у собак продолжает оставаться в центре внимания, однако на сегодняшний день эффективность коммерческих вакцин против заражения дерматофитами не доказана. В связи с этим вакцинация против дерматофитов не рекомендована для профилактики и лечения данного заболевания у собак.Список литературы:
- Moriello K. A., Coyner K., Paterson S., Mignon B. Diagnosis and treatment of dermatophytosis in dogs and cats: Clinical Consensus Guidelines of the World Association for Veterinary Dermatology. Vet Dermatol, 28 (3): 266-e268, 2017.
- Cerundolo R. Generalized Microsporum canis dermatophytosis in six Yorkshire terrier dogs. Vet Dermatol, 15: 181–187, 2004.
- Polak K., Levy J., Crawford P., et al. Infectious diseases in large-scale cat hoarding investigations. Veterinary Journal, 189–195, 2014.
- Ogawa H., Summerbell R., Clemons K. et al. Dermatophytes and host defence in cutaneous mycoses. Med Mycol, 36: 166–173, 1997.
- Vermout S., Tabart J., Baldo A. et al. Pathogenesis of dermatophytosis. Mycopathologia, 166: 267–275, 2008.
- Keep J. The epidemiology and control of Microsporum canis bodin in a cat community. Aust Vet J, 35: 374–378, 1959.
- Carroll H. Evaluation of dermatophyte test medium for diagnоsis of dermatophytosis. J Am Vet Med Assoc, 165: 192–195, 1974.
- Bourdeau P., Costiou F., Peron C. Comparison of carpet and toothbrush methods for the detection of asymptomatic carriage of dermatophytes in cats. Vet Dermatol, 15 (Suppl): 44 (Abstract), 2004.
- Rebecca Stuntebeck, Karen A. Moriello, Maria Verbrugge. Evaluation of incubation time for Microsporum canis dermatophyte cultures. J of Feline Med and Surg, 20(10): 997–1000, 2018.
- Rudnicka L., Olszewska M., Rakowska A. Trichoscopic structures and patterns. In: Rudnicka L., Olszewska M., Rakowska A., eds. Atlas of trichoscopy: dermoscopy in hair and scalp disease. Springer, 361–369, 2012.
- Cornegliani L., Persico P., Colombo S. Canine nodular dermatophytosis (kerion): 23 cases. Vet Dermatol, 20: 185–190, 2009.
- Francesco Albanese. Atlas of Dermatological and Cytology of Dogs and Cats, 2017.
- Mason K., Frost A., O’Boyle D. et al. Treatment of a Microsporum canis infection in a colony of Persian cats with griseofulvin and a shampoo containing 2% miconazole, 2% chlorhexidine, 2% miconazole and chlorhexidine or placebo. Vet Dermatol, 195: 12(Suppl 1): 55 (Abstract), 2000.
- Karen A. Moriello. Treatment of dermatophytosis in dogs and cats: review of published studies, ⦁ Vet ⦁ Dermatol, 15 (2): 99–107, 2004.
- Koneman’s Color Atlas and Textbook of Diagnostic Microbiology. 7th edition by Gary W. Procop, 2023.
- Small Animal Dermatology: A Color Atlas and Therapeutic Guide 4th Edition by Keith A. Hnilica and Adam P. Patterson, 2024.
- Charli Dong E., John Angus, Fabia Scarampella, Moni Neradilek. Evaluation of dermoscopy in the diagnosis of naturally occurring dermatophytosis in cats. Vet Dermatol, 2016.












vetpeterburg
Ветеринарный Петербург