Перфорация желудочно-кишечного тракта (ЖКТ) – опасное для жизни состояние, которое может происходить на любом уровне желудочно-кишечного тракта, становиться причиной септического перитонита и впоследствии приводить к летальному исходу. По статистическим данным, смертность среди собак и кошек с септическим перитонитом варьируется от 20 до 80%3.
У людей основная причина перфорации – это язвенное поражение слизистой желудочно-кишечного тракта, а в ветеринарной медицине причин для перфорации ЖКТ намного больше, основными из которых являются перечисленные ниже.
- Ятрогенные причины, в том числе ранее перенесенные энтеротомии.
- Инородные тела.
- Травмы.
- Уменьшение кровоснабжения в результате:
- острого расширения желудка/заворота желудка;
- шока.
- Метаболические нарушения:
- уремия;
- печеночная недостаточность;
- повышенная кислотность.
- Неоплазия.
- Воспалительные заболевания кишечника.
- Применение препаратов (НПВС, кортикостероиды)1.
Подтверждение перфорации – сложный процесс, включающий в себя несколько этапов диагностики.
Диагностика при подозрении на перфорацию ЖКТ
- Осмотр.
- Анализы крови:
- Общий клинический анализ крови. Изменения могут включать нейтрофилию со сдвигом влево или же лейкопению при септическом процессе. При длительном воспалительном процессе или при кровопотерях из любого отдела ЖКТ может наблюдаться анемия.
- Биохимический анализ крови. При желудочно-кишечном кровотечении могут наблюдаться гипоальбуминемия, повышение уровня мочевины, электролитные нарушения.
- Газы крови. Возможны алкалоз (например, в результате гипервентиляции) и ацидоз (в том числе лактатацидоз).
- Визуальная диагностика:
Контрастное рентгенологическое исследование желудочно-кишечного тракта уже не используется повсеместно в связи с широкой доступностью других методов диагностики, таких как УЗ-исследование и эндоскопия. Контрастное исследование не следует проводить, если есть подозрения на перфорацию стенки желудочно-кишечного тракта2. В литературе сообщается о нескольких клинических случаях перитонита, возникшего вследствие применения сульфата бария (англ. barium peritonitis) при проведении контрастного рентгенологического исследования у животных с перфорацией ЖКТ9. Сульфат бария осложняет бактериальный перитонит. В опубликованных исследованиях описано, что даже после санации брюшной полости остаточный барий, смешанный с содержимым желудочно-кишечного тракта, оставался в сальнике и брыжейке тонкой кишки и в течение нескольких часов внутренние органы слипались, а сульфат бария инкапсулировался в плотные фибринозные спайки9.
Ультразвуковое исследование (УЗИ) является предпочтительным методом для визуализации желудочно-кишечного тракта, поскольку позволяет оценить его состояние и перистальтику в реальном времени. Однако большое количество газа может мешать полноценной визуализации из-за блокировки прохождения УЗ-волн. Этот метод позволяет оценить проходимость желудочно-кишечного тракта, присутствие инородных тел, образований. При наличии перфорации пораженная стенка может выглядеть утолщенной и гипоэхогенной, с очаговой потерей слоистости, также могут наблюдаться гофрированный паттерн, наличие свободной жидкости, газа, гиперэхогенность жировой ткани в данной области, лимфаденопатия.
Компьютерная томография может быть использована при подозрении на перфорацию гортани и пищевода, возникающие в результате поедания инородных тел или вследствие получения травмы. Что касается других отделов ЖКТ, то многие изменения можно обнаружить посредством данного метода исследования, однако в ветеринарной медицине он не применяется широко для диагностики перфорации2.
Эндоскопия является одним из лучших методов диагностики патологий желудочно-кишечного тракта. Данная диагностическая процедура позволяет оценить слизистую пищевода, желудка, в некоторых случаях – тонкого отдела кишечника и прямой кишки.
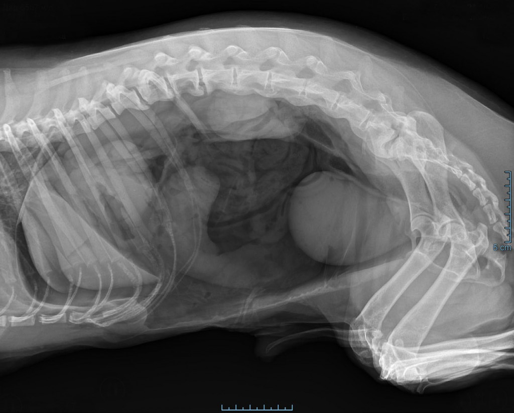
Эндоскопическое исследование показано при подозрении на инородное тело в пищеводе или желудке, для оценки изменений слизистой, в случаях наличия воспаления, рефлюкса, хиатальной грыжи, аномалии сосудистого кольца, неоплазии6. Однако если есть явное подозрение на перфорацию желудочно-кишечного тракта, эндоскопию лучше не проводить, поскольку нагнетанием воздуха во время проведения процедуры можно спровоцировать развитие напряженного пневмоторакса при перфорации пищевода или чрезмерное скопление газа в брюшной полости6 (фото 1).
Анализ свободной жидкости. Общая оценка жидкости, ее цитологическое и биохимическое исследования, а также оценка наличия воспаления могут быть важными в диагностике причин наличия свободной жидкости в брюшной полости.
При визуализации свободной жидкости проводят центез. Полученный образец жидкости сразу помещают в две пробирки – с EDTA и в биохимическую (без наполнителя) – и отправляют в лабораторию для проведения исследования.
Биохимические исследования необходимы для исключения уроабдомена, желчного перитонита, острого панкреатита8 (табл. 1).
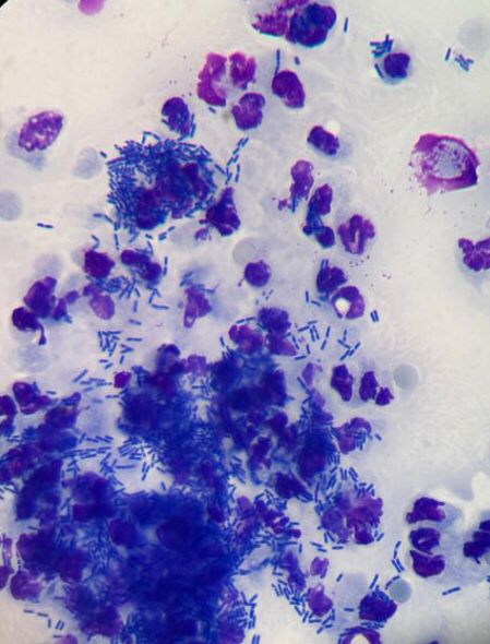
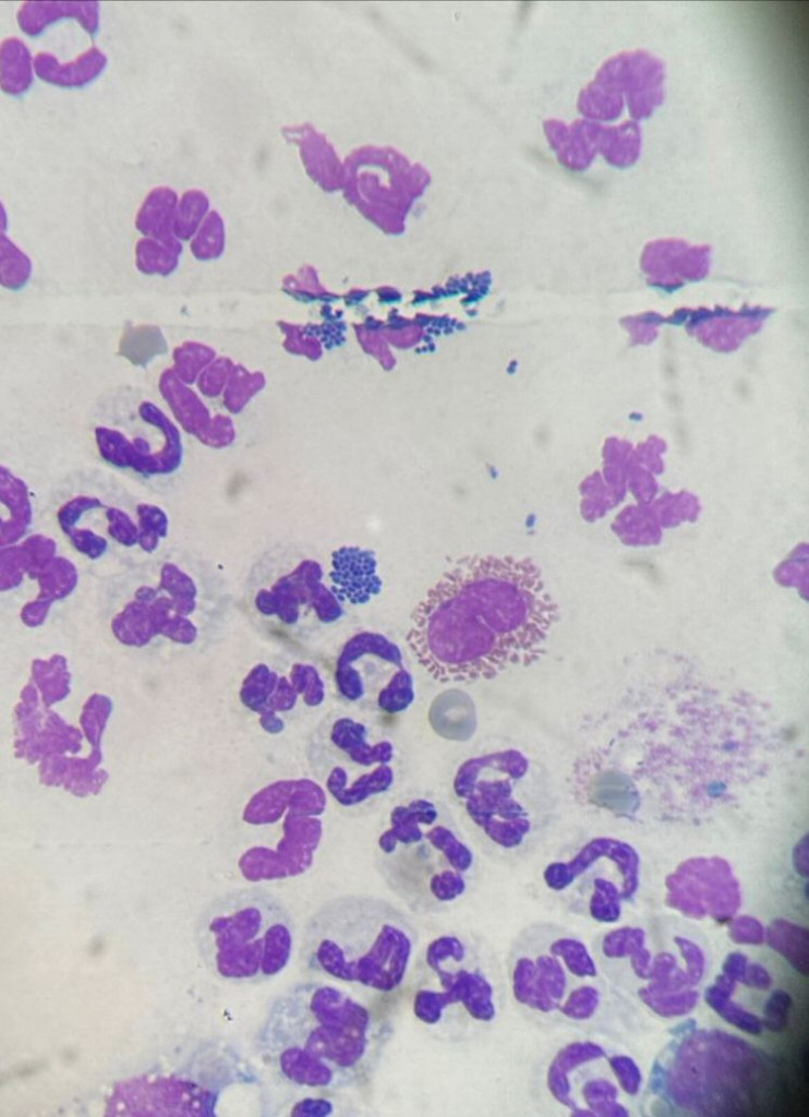
Для цитологического исследования и с целью оценки наличия воспаления используют метод окрашивания по Романовскому – Гимзе8. При септическом экссудате будет наблюдаться воспаление, которое связано с выработкой медиаторов воспаления, высвобождаемых из тканей и вызывающих повышенную миграцию нейтрофилов и макрофагов. Также из-за повышенной проницаемости сосудов происходит выпотевание богатой белком свободной жидкости. При перфорации ЖКТ могут преобладать дегенеративные нейтрофилы, возможна визуализация бактерий (фото 2, 3), расположенных как вне, так и внутри клеток7.
Лечение
Чаще всего животные с перфорацией желудочно-кишечного тракта поступают на прием к врачу уже в тяжелом состоянии, поэтому стабилизация таких пациентов и постановка диагноза должны быть выполнены в кратчайшие сроки.Животное помещают в отделение интенсивной терапии. У пациента необходимо сразу взять кровь для проведения лабораторных исследований, таких как общий клинический и биохимический анализы крови, анализ крови на электролиты. При подозрении на возникновение септического процесса необходимо дополнительно оценить кислотно-основное состояние, уровень лактата и глюкозы в крови, коагулограмму. В случае обнаружения свободной жидкости при неотложном УЗИ (AFast/TFast) следует провести центез, сравнительный анализ уровней лактата и глюкозы в крови и в перитонеальной жидкости или в плевральном выпоте при перфорации пищевода для постановки предварительного диагноза (табл. 1).
Если при окрашивании по Романовскому – Гимзе и по результатам цитологии жидкости подтверждается наличие септического экссудата, необходимо стабилизировать состояние пациента перед оперативным вмешательством.
Терапия включает агрессивную инфузионную терапию, антибиотикотерапию широкого спектра действия, расширенную анальгезию, кислородную поддержку. Гиповолемический шок и метаболические изменения должны быть скорректированы инфузионной терапией кристаллоидами, однако, если наблюдается выраженное снижение уровней общего белка и альбумина, коллоидные растворы могут быть использованы для поддержания онкотического давления10.
Антибиотикотерапия, согласно рекомендациям BSAVA, должна включать комбинацию метронидазол + марбофлоксацин, или ампициллин + амикацин + метронидазол, или амоксициллин с клавулановой кислотой + марбофлоксацин10.
Хирургическое лечение
После стабилизации животному необходимо провести диагностическую лапаротомию (фото 4), а при перфорации пищевода – торакотомию.В случае обнаружения дефекта проводят обновление краев раны, затем – ушивание дефекта и оментализацию. При перфорации пищевода, если есть возможность и имеются сомнения в надежности шва, создают заплатку из перикарда или диафрагмы. В тех случаях, когда при перфорации кишечника ушивание дефекта выполнить невозможно вследствие сильного изменения тканей, проводят резекцию и наложение анастомоза.
При наличии свободной жидкости рекомендовано сдать материал на бактериологическое исследование с целью коррекции антибиотикотерапии, а также провести патоморфологическое исследование измененных тканей в месте перфорации при неизвестной причине образования перфорации.
Поскольку операции на ЖКТ являются «загрязненными», хирургу следует сменить контаминированные перчатки, удалить все контаминированные материалы из операционного поля, затем провести обильный лаваж брюшной полости теплым физиологическим раствором.
После оперативного вмешательства пациента возвращают в отделение интенсивной терапии.
В послеоперационном периоде необходимо проводить интенсивный мониторинг. Следует тщательно контролировать показатели дыхания и сердечно-сосудистой системы. Практикующие врачи должны проявлять бдительность в отношении осложнений, таких как острый сосудистый шок, сепсис, диффузный перитонит, гипопротеинемия и электролитный дисбаланс.
Измерение процента дегидратации и инфузионная терапия имеют решающее значение для ведения пациентов. Использование уретрального катетера может помочь контролировать темп диуреза и поддерживать чистоту пациента. При возникновении тяжелой гипотензии внутривенное введение жидкостей (например, кристаллоидов или коллоидов) может оказаться неэффективным, поэтому могут потребоваться вазопрессоры. Необходимо внутривенное введение антибиотиков широкого спектра действия, выбор которых корректируется в соответствии с результатами интраоперационного бактериального посева свободной жидкости. Если гипопротеинемия становится выраженной, можно вводить раствор альбумина.
Ранняя энтеральная нутритивная поддержка после операции помогает снизить риск развития гипопротеинемии. При наличии септического перитонита ранняя нутритивная поддержка уменьшает частоту послеоперационных осложнений и, соответственно, снижает сроки пребывания пациента в ОРИТ11. Дополнительный анализ жидкости в брюшной полости может быть полезным инструментом мониторинга. Количество дегенеративных нейтрофилов должно постепенно уменьшаться после операции, а через три дня бактерий не должно быть обнаружено9.
Заключение
Перфорация желудочно-кишечного тракта – острое состояние, требующее незамедлительных действий. Вся команда ветеринарных специалистов должна работать слаженно для быстрой постановки диагноза, стабилизации пациента и проведения хирургического лечения. Несмотря на быстро развивающийся септический перитонит и высокий процент смертности, необходимо сделать все для спасения пациента.При выборе диагностических мероприятий важно учитывать противопоказания, чтобы уменьшить риски возникновения возможных побочных эффектов и тем самым не навредить пациенту.
Литература:
- Fanny Bernardin, Laura Martinez Rivera, Guillaume Ragetly, Eymeric Gomes and Juan Hernandez. Spontaneous gastrointestinal perforation in cats: a retrospective study of 13 cases. Journal of Feline Medicine and Surgery, 2014.
- Edward J. Hall, James W. Simpson, Aarti Kathrani. BSAVA Manual of Canine and Feline Gastroenterology, 3rd Edition, 2020.
- Dayer T., Howard J., Spreng D. Septic peritonitis from pyloric and non-pyloric gastrointestinal perforation: prognostic factors in 44 dogs and 11 cats, 2013.
- Helsa Teh, Lisa Winters, Fleur James, et al. Medical management of esophageal perforation secondary to esophageal foreign bodies in 5 dogs, 2018.
- Soren R. Boysen, Amy S. Tidwell, Dominique G. Penninck. Ultrasonographic findings in dogs and cats with gastrointestinal perforation, 2003.
- Philip Lhermette, David Sobel, Elise Robertson.BSAVA Manual of Canine and Feline Endoscopy and Endosurgery, 2nd Edition, 2021.
- Cowell and Tyler’s Diagnostic Cytology and Hematology of the Dog and Cat by Amy C. Valenciano, Rick L. Cowell, 5th Edition, 2019.
- Advanced Monitoring and Procedures for Small Animal Emergency and Critical Care Edited by Jamie M. Burkitt Creedon, 2nd Edition, 2023.
- Jae Jin KO, Tony Mann F. A. Barium Peritonitis in Small Animals. J Vet Med Sc, 2014. BSAVA/SAMSoc Guide to Responsible use of Antibacterials, 2018.
- Liu D. T., Brown D. C. and Silverstein D. C. Early nutritional support is associated with decreased length of hospitalization in dogs with septic peritonitis: a retrospective study of 45 cases (2000–2009), 2012.





vetpeterburg
Ветеринарный Петербург