Вступление
Экзокринная недостаточность поджелудочной железы (ЭНПЖ) – это заболевание, характеризующееся недостаточной выработкой пищеварительных ферментов ацинусами поджелудочной железы, что приводит к возникновению признаков нарушения пищеварения, мальабсорбции и потере веса1,2.В опубликованной литературе чаще встречается описание ЭНПЖ, которая вызвана генетически обусловленной гибелью ацинарных клеток у молодых собак пород немецкая овчарка, колли и кавалер-кинг-чарльз-спаниель. Форма заболевания, связанная с гибелью ацинарных клеток при хроническом панкреатите, характерная для возрастных собак и кошек, незаслуженно забыта. В результате теряющие вес пожилые собаки не получают должной помощи, поскольку их состояние связывают со старостью.
Ацинарная атрофия поджелудочной железы считается основной причиной ЭНПЖ у собак, особенно относящихся к породам немецкая овчарка и колли, но это заболевание развивается также в терминальной стадии хронического панкреатита и изредка – при новообразовании поджелудочной железы или экстрапанкреатических новообразованиях, вызывающих обструкцию протока поджелудочной железы. Считается, что экзокринная недостаточность проявляется только тогда, когда разрушено 90% ацинарной ткани. Существуют альтернативные пути пищеварения, обеспечиваемые лингвальными или желудочными липазами и пепсинами, а также эстеразами и пептидазами слизистой оболочки кишечника. Однако при сильном нарушении секреции поджелудочной железы работы альтернативных желез будет недостаточно, поэтому возникают симптомы недостаточности пищеварения. Наиболее частые клинические признаки: полифагия, копрофагия, мягкий кал, стеаторея, увеличение объема кала, кишечные шумы, метеоризм, потеря веса, себорея и атрофия мышц1,2.
Панкреатический секрет состоит из амилазы, липазы и трипсина. Трипсин превращается в трипсиноген в кишечнике и имеет большое значение для переваривания белка2. Животные с ЭНПЖ не вырабатывают достаточного количества трипсина, поэтому золотым стандартом диагностики служит измерение трипсиноподобной иммунореактивности сыворотки крови (TLI) – тест с высокой чувствительностью и специфичностью. Для собак референтные значения TLI составляют от 5,0 до 32,0 нг/мл, а значения ниже 2,5 нг/мл подтверждают наличие заболевания1. Измерения амилазы и липазы не используются, поскольку эти ферменты вырабатываются в других органах в отличие от трипсина и даже при наличии ЭНПЖ результаты анализов находятся в пределах нормы1,2.
В настоящее время в РФ, к сожалению, недоступны исследования трипсиноподобной иммунореактивности. Скорее всего, эта ситуация так или иначе разрешится в ближайшее время и поставки реактивов возобновятся. Альтернативой TLI может служить измерение количества видоспецифической панкреатической эластазы в кале.
Лечение
Лечение ЭНПЖ включает добавление ферментов в рацион на постоянный срок. Применяться могут различные ферментные препараты либо сырая поджелудочная железа, однако использование последней не рекомендуется из-за риска заражения смертельно опасными инфекциями, в том числе болезнью Ауески.Снижение или отсутствие внутреннего фактора вызывает гипокобаламинемию, поэтому введение витамина В12 инъекционно служит частью лечения. Для собак с ЭНПЖ рекомендуется рацион с высокой усвояемостью, низким содержанием клетчатки и большим количеством витаминов группы В. К таким рационам относятся корма линейки Гастроинтестинал либо корма, основанные на гидролизованном белке.
Ранее считалось необходимым назначать диеты с низким содержанием жиров, но было обнаружено, что при достаточном количестве ферментов жиры усваиваются, а без жиров в рационе затруднены набор веса и восстановление качества шерсти у животного. Актуальность низкожировых рационов сохраняется в тех случаях, когда стеаторея не разрешается другими методами.
Существует несколько спорных моментов в лечении ЭНПЖ, один из которых связан с частым осложнением заболевания – избыточным бактериальным ростом в кишечнике. Ранее с бактериями боролись антибиотиками, теперь принят микробиом-ориентированный подход (англ. microbiome-centered approach) в лечении заболеваний ЖКТ и назначаются пробиотики. На сегодняшний момент отсутствуют данные о том, какие пробиотики и в какой дозе наиболее эффективны при ЭНПЖ, поэтому требуются дополнительные исследования.
Также пересматривается назначение ингибиторов протонной помпы, которые применялись с целью снижения кислотности и для защиты ферментов от разрушения кислотой. Сейчас считается, что снижение кислотности желудка способствует избыточному росту гнилостных бактерий в кишечнике и нарушению усвоения белка. В настоящее время проблема решается подбором ферментных препаратов, стойких к кислоте, либо увеличением дозы ферментов.
Прогноз различается в зависимости от общего состояния животного, но большинство собак хорошо реагируют на лечение, уже в течение первой недели терапии отмечаются увеличение веса животного и устранение клинических признаков.
Цель этой статьи – рассказать о случае экзокринной недостаточности поджелудочной железы у возрастной собаки породы той-терьер, подчеркнув важность того, как своевременная диагностика и назначение эффективного лечения приводят к улучшению качества жизни пациента.
Клинический случай
Пациент: Джи Джи, метис той-терьера 13,5 лет, поступил в клинику с жалобами со стороны владельцев на снижение веса у питомца в течение 3 месяцев, хотя аппетит у него при этом был усилен. Приступов рвоты не наблюдалось, дефекация регулярная, оформленным, но мажущим, жирным калом. Шерсть тусклая, выпадает, начал усиленно вылизывать свои лапы. От блох и клещей обрабатывать владельцы опасаются, надевают воротник.Последние 2,5 года владельцы отмечали у собаки периодические эпизоды отказа от еды и диарею с кровью. Оказывали симптоматическую помощь, и все проходило. Не вакцинирован. На улице не гуляет, поскольку ослеп некоторое время тому назад.
Результаты физикального осмотра. Собака активная, бодрая. Температура незначительно снижена – 37,8 °C. Отмечаются кахексия, мышечная атрофия, тусклая и ломкая шерсть. В ротовой полости большое количество зубного камня без гингивита. Тургор кожи снижен примерно на 5%, лимфоузлы не увеличены, при пальпации брюшная стенка безболезненная. Все жизненно важные параметры, такие как цвет слизистой оболочки, скорость наполнения капилляров, частота сердечных сокращений, частота дыхания и сердечно-легочная аускультация, находились в пределах нормы. Уровень глюкозы крови немного ниже нормы – 2,8 ммоль/л (измерение проводилось глюкометром Contour TS; референтный интервал – 3–6 ммоль/л).
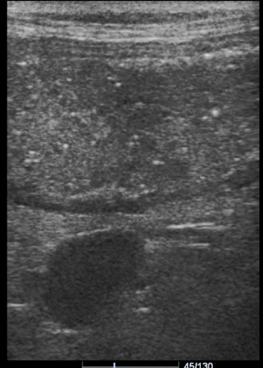
Диагностика. По результатам УЗИ выявлены дилатированные содержимым и пневматизированные петли тонкого и толстого кишечника, перистальтика сохранена и местами усилена (рис. 2). Такая картина характерна для нарушения усвоения питательных веществ в кишечнике и избыточного бактериального роста.
К этому моменту были определены следующие основные дифференциальные диагнозы: хроническая энтеропатия собак с мальабсорбцией и экзокринная недостаточность поджелудочной железы. Однако с учетом пожилого возраста пациента необходимо было выявить изменения в состоянии животного, связанные со старением и усугубляющие протекание болезни. В связи с этим было принято решение о проведении дополнительной диагностики: клинический и биохимический анализы крови, общий анализ мочи и паразитологическое исследование кала.
Результаты анализов:
- В клиническом анализе крови выявлен лейкоцитоз 31,3×109/л (за счет нейтрофилов и моноцитов), что характерно для хронического воспалительного процесса.
- Биохимический анализ без значимых отклонений за исключением снижения уровней холестерина (3,34, при норме 3,5–7,0 ммоль/л) и кальция (2,07, при норме 2,3–3,0 ммоль/л) в крови из-за нарушения усвоения жиров и кальция из пищи.
- Паразитологическое исследование кала: обнаружены цисты гиардий. Простейшие могут являться причиной ухудшения работы кишечника у щенков, но для взрослых собак они обычно не имеют такого большого значения. Тем не менее противопаразитарная обработка, эффективная против гиардий, должна быть проведена для устранения одного из повреждающих факторов.
Для проведения анализа на трипсиноподобную реактивность у собаки взяли кровь натощак – после 12 часов голодания. Исследование проводилось в ветеринарной лаборатории «Вет Юнион». Результат данного анализа вызвал удивление у работников лаборатории, поскольку у пациента не обнаружили регистрируемого уровня ферментов (рис. 3).
По просьбе сотрудников лаборатории сыворотка крови была сдана на анализ повторно, кровь у пациента взяли после 6-часового голодания. Результат был характерен для экзокринной недостаточности поджелудочной железы (рис. 4).
Лечение
После подтверждения диагноза «экзокринная недостаточность поджелудочной железы, осложненная гиардиозом» пациенту было назначено следующее лечение:- Заместительная терапия препаратом «Креон 10 000» (действующее вещество: ⦁ п⦁ анкреатин) по 1/6 содержимого капсулы с каждым приемом пищи.
- Цианокобаламин (В12) по 250 мкг подкожно 1 раз в неделю до достижения нормального веса.
- Диета: промышленный высокоусвояемый корм линейки гастроинтестинал (без снижения содержания жиров).
- Обработка от наружных паразитов селамектином ежемесячно.
- Дегельминтизация фенбендазолом – 50 мг/кг перорально 1 раз в сутки 3 дня подряд.
- Пробиотик «Фортифлора» по 1 пакетику 1 раз в сутки в течение 2 недель.
В настоящее время Джи Джи почти 17 лет, все эти годы питомец радует владельцев и у него отсутствуют проблемы с желудочно-кишечным трактом. Никакое лечение не может отменить старость и сделать собаку молодой, однако улучшение качества жизни пожилых животных имеет большое значение для их владельцев.
Обсуждение
Пожилой возраст пациентов характерен для собак и кошек с экзокринной недостаточностью, возникающей в результате хронического панкреатита. Эта форма заболевания развивается у большинства кошек и собак, которые не относятся к породам, предрасположенным к ацинарной атрофии4.У данного пациента диагноз «хронический панкреатит» не был поставлен, однако в течение 2,5 лет, предшествовавших ЭНПЖ, у него наблюдались эпизоды диареи с кровью и отказа от еды, которые могли быть проявлением хронического панкреатита.
В исследовании (Raiha and Westermarck, 1989), проведенном с участием 109 собак с диагнозом ЭНПЖ, среди основных клинических признаков отмечались следующие: желтоватый кал (99%), увеличение объема фекалий (95%), потеря веса и кахексия (90%), метеоризм (88%), копрофагия (61%) и ухудшение состояния кожи (14%)9. В другом исследовании с участием 299 собак7 были выявлены желтоватый кал (96%), потеря веса (84%), копрофагия (18%) и ухудшение состояния кожи (6%). Эти данные демонстрируют, что клинические признаки ЭНПЖ не меняются на протяжении 30 лет исследований и их можно считать классическими.
Обычно в клиническом и биохимическом анализах крови нет отклонений, но у Джи Джи и как минимум еще у одного пациента из опубликованного клинического случая2 обнаруживался лейкоцитоз, вероятно, связанный с избыточным бактериальным ростом.
Анализ на трипсиноподобную иммунореактивность поджелудочной железы позволяет поставить диагноз без необходимости исключения других причин мальабсорбции (пищевая непереносимость, лимфома и т. д.). Диагностика других причин может быть дорогостоящей, инвазивной и занимать много времени. К примеру, может потребоваться диагностическая лапароскопия с отбором материала на гистологическое исследование.
В ранних исследованиях для лечения ЭНПЖ рекомендовали применять ферменты в виде порошка (по 1–2 чайные ложки в каждую порцию корма)4, авторы последних лет описывают высокую эффективность ферментов в кишечнорастворимой оболочке в виде таблеток или капсул, однако рекомендуемые дозировки не указывают2. Подбор дозы должен быть эмпирическим и увеличиваться до клинически значимого эффекта (автор статьи начинает с дозы 2000 ЕД/кг веса в каждую порцию корма).
Гипокобаламинемия тесно связана с отрицательным прогнозом и более короткой выживаемостью6. Инъекционные препараты цианокобаламина доступны в РФ и отличаются небольшой стоимостью, поэтому в тех случаях, когда владельцам по финансовым причинам недоступно исследование уровня витамина В12 в крови, оправдано назначение препарата в инъекциях с введением 1 раз в неделю.
Описаны животные с ЭНПЖ, которые не реагируют на лечение, у таких животных прогноз неудовлетворительный8. Считается, что проблема заключается в сопутствующих заболеваниях кишечника, усугубляющих мальабсорбцию. У животных с хорошей реакцией на лечение прогноз благоприятный. ЭНПЖ остается неизлечимым заболеванием с необходимостью на протяжении всей жизни принимать ферменты, кроме того, некоторые признаки мальабсорбции и неполноценного усвоения питательных веществ сохраняются, несмотря на лечение и диету5. Однако при хорошем уходе со стороны владельцев качество и продолжительность жизни у пациентов с ЭНПЖ будут достойными.
Список литературы:
- Westermarck E., Wiberg M. Exocrine Pancreatic Insufficiency in the Dog: Historical Background, Diagnosis, and Treatment. Top Companion Anim Med, 27(2): 96–103, 2012.
- Exocrine Pancreatic Insufficiency in a Dog: Case Report. Fábia Luvisetto do Nascimento, André Rinaldi Fukushima, Juliana Weckx Peña Muñoz, Vinícius dos Santos Fernandes Conceição, Bruno Nascimento Lopes, Steffany Teles de Novais, Esther Lopes Ricci, Maria Aparecida Nicoletti, Simone Rodrigues Ambrósio, 2023.
- Clinical Small Animal Internal Medicine. Chapter 54. Exocrine Pancreatic Insufficiency in Dogs and Cats. Panagiotis G. Xenoulis Dr Med Vet, PhD, 2020.
- Exocrine Pancreatic Insufficiency in Dogs and Cats. By Jörg M. Steiner, Med Vet, Dr Med Vet, PhD, DACVIM-SAIM, DECVIM-CA, AGAF, Texas A&M University System, Oct 2020.
- Untargeted Analysis of Serum Metabolomes in Dogs with Exocrine Pancreatic Insufficiency / by Patrick C. Barko, Stanley I. Rubin, Kelly S. Swanson, Maureen A. McMichael, Marcella D. Ridgway and David A. Williams, 2023.
- Westermarck E., Saari S. A., Wiberg M. E. Heritability of exocrine pancreatic insufficiency in German Shepherd dogs. J Vet Intern Med, 24(2): 450–452, 2010.
- Soetart N., Rochel D., Drut A., Jaillardon L. Serum cobalamin and folate as prognostic factors in canine exocrine pancreatic insufficiency: An observational cohort study of 299 dogs. Vet J, 243:15–20, 2019.
- Nelson R. W., Couto C. G. O pâncreas endócrino. In: Medicina interna de pequenos animais. 5th edn. Brazil, Rio de Janeiro: Elsevier, pp. 1767–1830, 2015.
- Simpson K. W. Exocrine Pancreatic Insufficiency, In: Encyclopedia of Canine Clinical Nutrition by Pibot P. et al., 2008.





vetpeterburg
Ветеринарный Петербург