Абстракт
Опухоли слюнных желез – нечасто встречающаяся группа неоплазий у рептилий и, в частности, у бородатых агам. Особенности течения карцином слюнных желез, детали хирургической техники и клинических исходов у бородатых агам не описаны.Бородатая агама (Pogona vitticeps) поступила с жалобами владельцев на плохой аппетит, увеличение в объеме правого глаза, припухлость в области шеи справа. Были проведены физикальный осмотр, магнитно-резонансная томография, УЗИ, гистологическое исследование неоплазии ротовой полости. Образование было удалено хирургически. Ранний послеоперационный период протекал без особенностей, спустя 11 дней после хирургического вмешательства животное пало.
Ключевые слова: бородатая агама, карцинома слюнной железы, слюнная железа, Pogona vitticeps.
История болезни
На осмотр в клинику поступила самка бородатой агамы в возрасте 6 лет, массой 413 граммов. Жалобы со стороны владельцев: снижение аппетита в течение последних 7 дней, увеличение в объеме правого глаза, наличие образования коричнево-серого цвета в области каудальной части барабанной перепонки справа, которое (со слов владельцев) наблюдается уже на протяжении 8 месяцев.За 8 месяцев до обращения владельцы также посещали стороннюю ветеринарную клинику, где была проведена компьютерная томография, по результатам которой был назначен курс энрофлоксацина. За неделю до обращения владельцы предоставили животное в одну из клиник для проведения компьютерной томографии, по результатам которой было установлено наличие мягкотканного образования в области глотки без точной локализации. Также на руках у владельцев имелись результаты биохимического и клинического анализов крови.
Результаты осмотра. Была выявлена припухлость мягкой консистенции в мягких тканях шеи справа, малоподвижная, безболезненная. После пальпации в области образования в ротовой полости визуализировалась свежая кровь вместе с обильным количеством тягучей слюны. В правом наружном слуховом ходе, в проекции тимпанической мембраны преимущественно каудально определялась серо-коричневая масса неправильной формы, размером около 3 мм (фото 1).
Диагностика
Животному были выполнены ультразвуковое исследование мягких тканей шеи, магнитно-резонансная томография области головы и шеи с контрастным усилением.Результаты УЗИ. В просвете ротоглотки было выявлено гетерогенное, преимущественно изоэхогенное образование с гипоэхогенными включениями неправильной формы, нечеткими контурами, размерами 15×16 мм (фото 2, 3).
Результаты МРТ. В проекции поверхностной приводящей мышцы нижней челюсти справа, крыловидной мышцы справа, трапециевидной мышцы справа определяется объемное образование с линейными размерами 16×13×25 мм, без выраженных границ. Внутренняя сонная артерия интимно прилегает к медиальной стороне образования, которое вызывает сужение просвета ротоглотки, примыкая к правому гиоидному рожку подъязычной кости (фото 4, 5).
При внутривенном введении парамагнитного контрастного вещества – гадодиамид 0,15 ммоль/кг (омнискан 0,5 ммоль/мл, «ДжиИ Хелскеа Ирландия Лимитед», Ирландия) на отсроченных сериях определяется слабоинтенсивное накопление контраста выявленным образованием. В проекции наружной приводящей мышцы нижней челюсти справа определяется аналогичное по сигнальным характеристикам образование размером 5×4,5×3,7 мм (фото 6).
Лечение
Через 7 дней после первичного приема животное было предоставлено в клинику для хирургического удаления объемного образования.Для проведения анестезии использовался кетамин 15 мг/кг (кетамин 50 мг/мл, «ФГУП Московский эндокринный завод», Москва, РФ), инъецированный внутримышечно в передние конечности, и фентанил 10 мкг/кг (фентанил 50 мкг/мл, «ФГУП Московский эндокринный завод», Москва, РФ), инъецированный внутримышечно в передние конечности.
Животное было интубировано с помощью эндотрахеальной трубки (Oral/Nasal Tracheal Tube Cuffless 8 cm I.D. 2.0 mm, O.D. 2.9 mm, Covidien, Thailand), анестезия поддерживалась с использованием севофлурана 3,5–8% (Sevoran Abbott laboratories, USA), со скоростью подачи кислорода 0,5 л/мин. Прерывистая искусственная вентиляция легких с положительным давлением 6–8 см H2O, 4 вдоха/мин, осуществлялась с помощью наркозной станции (Anesthesia machine, Falcon SE, Anmedic AB Galgbcksvagen 6 SE 186 30 Vallentura, SE). Мониторинг анестезии включал оценку рефлексов, ультразвуковую доплерографию сердца.
Животное было размещено на левом боку, разрез кожи осуществлялся косо, на расстоянии около 10 мм от наружного уха, через латеральную поверхность шеи до правого гиоидного отростка, поверхностные мышцы шеи, слизистая оболочка ротоглотки также были рассечены (фото 7, 8).
В ходе хирургического вмешательства выявлено образование мягкой консистенции, неправильной овальной формы, неоднородной структуры и с выраженными границами, преимущественно кремового цвета, с наличием обильного количества тягучей жидкости на поверхности (фото 9).
Новообразование отделялось от окружающих тканей тупым способом. Оно распространялось из просвета ротоглотки через тимпаническую мембрану в наружный слуховой ход. Внутренняя сонная артерия была лигирована. На дефект ротоглотки был наложен простой узловатый шов (Polydioxanone USP 5-0 колющая игла, размер иглы – 13 мм, окружность – ½, длина нити – 70 см, Atramat, Мексика), дефект кожи был ушит непрерывным П-образным швом (Polypropylene USP 4-0 колющая игла, размер иглы 20 мм, окружность ½, длина нити 75 см, Atramat, Мексика).
Образование было зафиксировано в 10%-ном забуференном формалине для проведения гистологического исследования (фото 10).
Восстановление животного от анестезии проходило на водяной грелке и заняло около 120 минут.
Спустя 12 часов после проведения оперативного вмешательства животное было выписано домой с назначением в качестве антибиотикотерапии энрофлоксацина в дозе 5 мг/кг внутримышечно.
Спустя 11 дней после оперативного вмешательства животное внезапно пало, последующее вскрытие не проводилось.
Гистологическое исследование
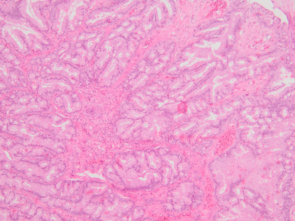
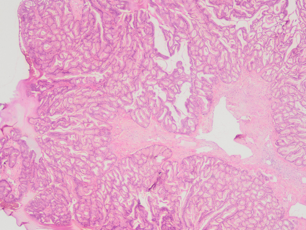
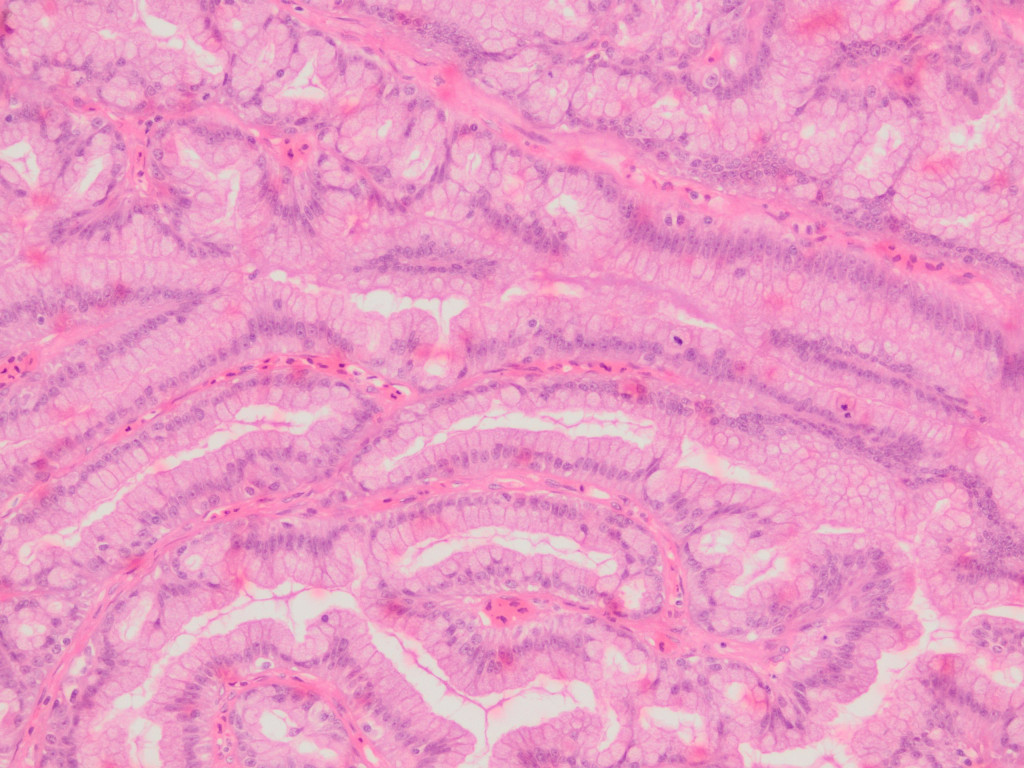
Новообразование сформировано многочисленными папиллярными выростами разного размера и формы с эпителиальными канальцами, разделенными и поддерживаемыми обильной фиброзной стромой. Над поверхностью эпителия отмечается накопление большого количества муцинозного секрета. На периферии образования обнаруживаются небольшие участки эпителиальных клеток, формирующие мелкие гнезда, иногда заполненные кератиновыми чешуйками (фото 11-13).Неопластические клетки имеют кубическую или цилиндрическую форму, умеренное количество цитоплазмы, часто заполненной обильным количеством секреторного материала, который сдавливает ядро. Ядра пикнотичные или округлые, с мелкозернистым хроматином и округлыми малиновыми ядрышками. Количество митозов – 2 в 2,37 мм2. Обнаруживаются обширные участки скопления свободнолежащих эритроцитов. Строма иногда инфильтрирована немногочисленными клетками воспаления.
Морфологический диагноз: новообразование – карцинома слюнной железы, преимущественно папиллярного типа, низкая степень атипии и количества митозов, выраженная секреторная активность.
Обсуждение
Число опубликованных случаев новообразований слюнных желез у рептилий весьма ограничено. Сообщается о единичных зарегистрированных случаях карциномы околоушной слюнной железы у золотого тегу (Tupinambis teguixin), аденокарциномы нёбной слюнной железы у тигрового питона (Python bivittatus)5,6. Три случая новообразований слюнных желез были зарегистрированы в архивах Северо-Западного центра зоопатологий (Northwest ZooPath, Monroe, WA), включая аденокарциному у королевского питона (Python regius), аденокарциному у зеленой игуаны (Iguana iguana) и аденомы у бородатой агамы (Pogona vitticeps)3.В недавнем ретроспективном исследовании неоплазий желудочно-кишечного тракта бородатых агам из 51 выявленного случая опухолей ЖКТ 18 случаев составили неоплазии ротовой полости. Новообразования полости рта включали саркому, аденоматозный полип, круглоклеточную опухоль, фиброматозный эпулис и миксому. За исключением диссеминированной круглоклеточной неоплазии все новообразования полости рта, включая саркомы, не были связаны со смертью или эвтаназией и имели прогноз от хорошего до отличного4.
Несмотря на низкую степень атипии и, судя по всему, медленный темп роста (с момента появления прошло как минимум 8 месяцев), новообразование имело отдаленный очаг роста в области наружной приводящей мышцы нижней челюсти, и, вероятно, стало причиной смерти животного.
Насколько известно автору статьи, случаев карцином слюнных желез у бородатых агам в мировой литературе не описано1,2,7, следовательно, данный тип опухолей имеет низкую степень инцидентности среди рептилий и, в частности, бородатых агам. Однако, несмотря на это, карциномы стоит вносить в список дифференциальных диагнозов при новообразованиях слизистой оболочки ротовой полости/ротоглотки у бородатых агам.
Список литературы:
- Garner М. Trends in Reptilian Neoplasia: A Diagnostician’s Perspective. Internet Publisher: Publisher: International Veterinary Information Service (www.ivis.org), Ithaca, New York, USA, 2004.
- Garner M. et al. Reptile neoplasia: a retrospective study of case submissions to a specialty diagnostic service. Vet Clin Exot Anim, 7: 653–671, 2004.
- Ladouceur Elise E. B. Reptile neoplasia. In: Michael M. Garner, Elliott R. Jacobson Noninfectious Diseases and Pathology of Reptiles Color Atlas and Text Volume 2, CRC Press is an imprint of Taylor & Francis Group, LLC, pp. 23–24, 2020
- La Douceur Elise E. B. et al. Alimentary Tract Neoplasia in Captive Bearded Dragons (Pogona spp). ⦁ J of Com Path. 2022, pp. 28–33, https://doi.org/10.1016/j.jcpa.2022.03.007
- Machotka S. V. Neoplasia in reptiles, in Diseases of Amphibians and Reptiles. Hoff G. L., Frye F. L., and Jacobson E. R. (Eds.), Plenum Press, New York, pp. 519–580, 1984.
- Mauldin G. N., Done L. B. Oncology. In: Mader D. R., ed. Reptile Medicine and Surgery. 2nd ed. St. Louis: Saunders Elsevier; pp. 299–322, 2006.
- Schmidt-Ukaj S.et al. A survey of diseases in captive bearded dragons: a retrospective study of 529 patients. J Vet Med, 62(09): 508–515, 2017. doi: 10.17221/162/2016-VETMED







vetpeterburg
Ветеринарный Петербург